豬嗜血桿菌胸膜肺炎
- 作者
- 張聰洲;劉正義
- 建立日期
- 96年03月09日
- 更新日期
- 96年03月09日
- 內容
一、 病歷:
某大企業養豬場,發現肥育期至肉豬期之豬隻突然大量死亡。死亡前罹病豬體表皮膚均呈明顯發紺。
二、 肉眼病變:
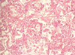
剖檢時鼻腔可見大量血樣鼻液蓄積,雙肺均呈明顯廣泛散播性潮紅及出血灶,此病變主要位於膈葉,小葉間膈明顯。 三、 組織病變: 鏡下可見局部肺實質出現出血壞死灶。肺小葉間隔水腫液蓄積。 四、 微生物學檢查:
自肺部分離出很純之Actinobacillus pleuropneumonia(舊屬名Haemophilus) 五、 診斷: 豬嗜血桿菌胸膜肺炎 註:以圖片說明不同時期之病變:1.2.3.為甚急性型;4.5.為急性型;6.7.為亞急性型;8.為慢性型。

