山羊尿道結石併發膀胱破裂症
- 作者
- 蔡睦宗;彭增發;洪信雄
- 建立日期
- 96年03月07日
- 更新日期
- 96年03月07日
- 內容
一、 病歷:
畜主飼養約60頭撒能種白色山羊,最近陸續約有10頭公羊有排尿困難、尿液混濁、怒責、腹部膨大等臨床症狀,發病率10/60致死率2/10,畜主餵飼之飼料其精料成份是麥片、玉米、黃豆粉、米糠及Ca、Mg、P等礦物質人工攪拌混合,粗料則為狼尾草和碗豆莢,水源來自地下水(硬度2.0ppm)。飼養環境採條狀式高床圈飼。
二、 肉眼病變:
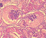
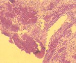
泌尿系統: 1. 膀胱內黏膜附著大量白色不透明米粒樣大小的結石(直徑約lmm~3mm),形狀為橢圓形或不正方形,手指捺壓時易碎,同時有一長的2.5cm之穿孔出血灶;尿道S狀彎曲以下約10cm長之粘膜面瀰漫性出血,尿道口處含2~3顆小白色結石。 2. 腎臟 - 無肉眼可視病變。 腹腔:腹腔內充滿了黃褐色之液體。 外觀:腹部膨大。 三、 組織病變:
1. 膀胱: 黏膜上皮局部脫落,黏膜層及黏膜下層局部廣泛性出血。 2. 尿道: 黏膜移形上皮脫落,固有層呈淡粉紅均質樣壞死,大量RBC及少量淋巴球浸潤。 3. 腎臟: 多數腎小管上皮細胞發生廣泛性變性、壞死,管腔內有粉紅色滲出物。少數鮑氏囊空隙增大,內含淡粉紅色滲出液。髓質部則出血。 四、 微生物學檢查: 膀胱以血液培養基之培養,經鑑定為 Staphylococcus spp.。 五、 診斷: 山羊尿道結石併發膀胱破裂(Urolithiasis in Goat with Perforation of Urinary Bladder)。

