犬纖維性齒齦瘤
- 英文名稱
- Canine Fibromatous Epulis
- 作者
- 廖俊旺;張隆和;徐小良
- 建立日期
- 96年03月07日
- 更新日期
- 96年03月07日
- 內容
一、 病歷:
雜種狗,約8歲,畜主於3個月前發現該犬在前臼齒部,有一小突起物,近因食慾不振,來院接受治療,經手術取下腫瘤物後,癒後良好。
二、 肉眼病變:
腫瘤物由數個軟組織團塊所形成,觸感硬,白色,長約 2.5 公分 × 寬約 l.5 公分,表面有出血及潰瘍現象(圖一)。 三、 組織病變:
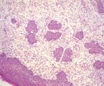
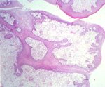
軟組織團塊切片顯示組織塊外面覆蓋一層,複層扁平上皮細胞,上皮下層為增生之纖維組織(圖二),部分區域有出血,富含許多新生小血管,結締上皮細胞疏鬆,含有許多膠原結構(圖三),另有散佈質上皮細胞並排聚集形成數個小圈,為腫瘤特徵(圖四)。 四、 診斷: 纖維性齒齦瘤(Fibromatous Epulis)。

