鴨家禽霍亂
- 內容
一、病歷:
金山某鴨場,自外引起進 120日齡土番鴨,一週後部份鴨隻突然暴斃,死 亡率為45/200 。
二、肉眼病變:
1. 患鴨眼結膜潮紅、出血,眼窩凹陷。(圖 1)
2. 全身重要臟器可見顯著出血病變。
3. 心內膜、心肌至心外膜皆可見嚴重瀰漫性出血灶。(圖 2, 3)
4. 肝:密發極細針點狀黃白色壞死點。
5. 脾:密發極細針點狀黃白色壞死點。
6. 華氏囊:粘膜面潮紅,內含乾酪樣物。
7. 十二指腸粘膜:潮紅呈點狀或斑狀出血。(圖 5)
8. 腸四個環狀帶皆可見顯著腫大及出血。(圖 5)
9. 肺潮紅濕重。(圖 4)
三、組織病變:
1. 心:心外膜、心肌及心內膜可見嚴重瀰漫性出血灶,無炎症反應。
2. 肝、脾:多發局部凝固樣壞死,壞死區內可見大量炎症細胞及壞死細胞碎片。(圖 7,8)
3. 肺:肺小葉微血管及小靜脈顯著充出血,旁支氣管腔內可見大量粉紅色滲出液聚集。
4. 腸:淋巴集結處腸粘膜上皮呈局部壞死及出血灶。
四、實驗室檢驗:
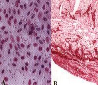
心血塗抹片以 Wright's stain 觀察,可見兩端濃染之短桿菌(圖 6A)。心血、肝、脾釣菌
培養於 Blood agar,37℃ 24小時後可見白色、不透明圓形菌落,經生化鑑定為 Pasteurella multocida。
五、診斷:
家禽霍亂(Fowl Cholera)
六、討論及參考文獻:
(一)討論
該養鴨場為一專門收購中鴨飼養至大鴨後出售之肉鴨場,該場之衛生管理不良,適逢發
病日前後金山地區久旱無雨,鴨池中水質極差,且該水池又為封閉式,只要有少量家禽霍亂
病原經由糞便污染池水,則很容易導致全場鴨隻發病,該畜主經指導投與抗家禽霍亂之抗生
素及消毒鴨舍、更換池水後,疫情即迅即平靜。
(二)參考文獻:
1. 呂榮修。家禽霍亂。禽病診斷彩色圓譜。中華民國養雞協會出版。P264-272 。1995。
2. 張照夫。家禽霍亂。動物傳染病診斷標準。行政院農業委員會、台灣省政府農林廳補助
。雲林縣家畜疾病防治所彙編。B9-1~3。
3. Rhoads KR, Rimler RB. Pasteurellosis and related disease. In:Disease of Poultry, 9th ed. Iowa State
University Press, Ames, USA, P145-162,1991.

圖1:二月齡北京鴨,突然死亡。 圖2:死亡之北京鴨剖檢皆可見心肌呈顯著出血灶,嚴
重者呈全面性出血如圖右所示。

圖3:心臟切面:心內膜全面山血。 圖4:肝臟密發極細之白色壞死點。

圖5:12指腸密發點狀出血(長箭頭)環狀帶嚴重出血 圖6A:心血塗抹片以Wright's stain 可見兩端濃染桿菌
(短箭頭) (箭頭)。
圖6B:心肌組織切片:心外膜、心肌皆呈嚴重出血灶。

圖7:脾組織切片:局部凝固樣壞死區內可見大量炎症 圖8:肝組織切片:局部凝固樣壞死。壞死區內可見大
細胞及壞死細胞碎片。 量炎症細胞及壞死細胞碎片 。