仔豬產氣莢膜芽胞梭菌感染症
- 英文名稱
- Clostridium perfringens Infection in Piglets
- 作者
- 高淑娟 呂完教 賴光明 李淑慧
- 建立日期
- 96年01月22日
- 更新日期
- 96年01月22日
- 內容
一 、
病 歷 :
本縣大武地區有一小型的一貫作業養豬場,共飼養有大小豬隻約 350 頭 ,據畜主表示86年2月初分娩舍內即零星發生出生後2 ~ 3天的小豬下痢死亡,病程短的一兩天內死亡,病程長的則兩三週後死亡,有的是一整窩小豬全部下痢死亡,有的整窩下痢仔豬可能有 1 至 6 頭不等的活存。畜主曾請藥商及飼料廠人員診治過,情況稍有改善。但到了三月初分娩舍下痢死亡哺乳仔豬頭數又劇增,畜主曾用腹腔注射輸液療法及以氯黴素、Cephalothin等藥物肌肉注射,治療效果並不好,故於 3 月 4 日請本所人員前往檢驗 。
二 、
肉眼病變: 1. 外 觀 惡臭 ........................................................................................... 4/4 體表污穢 ................................................................................... 2/4 精神沉鬱 ................................................................................... 3/4 消瘦,肛門粘著污穢下痢便 .................................................. 1/4 2. 腎 臟 散發出血點 ............................................................................... 1/4 腎乳突潮紅腫脹 ....................................................................... 4/4 3. 淋巴結 腸繫膜淋巴腫大 ....................................................................... 4/4 4. 胃 充滿凝乳塊 ............................................................................... 3/4 5. 腸 管 以空腸 、迴腸 、盲腸發病為主 ,腸管肥厚易斷 ,粘膜表面
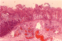
覆蓋一層不易剝離的偽膜 (圖 1, 2 ) ...................................... 3/4十二指腸,空腸出血,迴腸有黃色偽膜 ............................. 1/4 結腸粘膜出血 ........................................................................... 3/4 

三 、 組織病變: 1. 空、迥腸 :空迴腸呈瀰漫性淺層凝固樣壞死,粘膜層被壞死膜取代,局部壞死區深入粘膜下層,形成明顯的炎症帶,壞死區可見大量細菌團塊,粘膜下層有明顯氣腫(圖4)。

2. 盲、結腸:盲結腸粘膜面瀰漫性壞死,壞死區以粘膜層表層為主,可見大量多種不同之菌體,有些菌體及細菌團塊浸潤於腺體部與粘膜下層交接處。
3. 淋巴結:腸繫膜淋巴結淋巴細胞減少,局部氣腫。
4. 腎 臟:腎乳突充出血。
四、 實驗室檢查 :
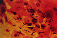
1. 以電擊後剖檢病豬的小腸前段粘膜所做的抹片經革蘭氏染色法染色可見到大量的肥胖型陽性桿菌(圖3)。

2. 取病豬的小腸前段腸粘膜以肉粒培養基(Cooked meat medium)、乙硫醇酸鹽培養基 (Thiglycllate broth)及血液瓊脂培養基(Blood Agar)上採厭氧培養,均可分離出產氣莢膜芽胞梭菌。
3. 動物接種實驗:收集腸內容液加等量生理食鹽水,以 4000rpm 遠心30分鐘後取上清液,以小白鼠為實驗動物,施予尾靜脈注射,每一組以兩隻小白鼠做試驗。一隻以上清液直接注射,另一隻則加入0.05%胰蛋白酯感作一小時之上清液注射,結果兩隻小白鼠都死亡。
五、 診 斷 : 仔豬產氣莢膜芽胞梭菌感染症(Clostrdium perfringens Infection in Piglets)
六、 討論及參考文獻 :
(一) 討 論:
1. 據畜主表示該場以前並未曾發生產氣莢膜芽胞梭菌感染的問題,由畜主提供的資料中可發現這次發生的豬群以更新母豬為主,可能是由新購母豬所帶菌感染。
2. 又於一月份因飼料桶的改裝,為方便購入飼料全場豬隻改以肥豬料(肉豬二期料)飼養,高蛋白、高熱能的飼料是否造成母豬腸管內產氣莢膜芽胞梭菌量增加,排菌量增多,而成為污染源是值得注意的問題。
3. 二月初即有下痢豬隻發生,當時未送檢驗即自行請藥商診治聽其建議處理,抗生素的過量使用破壞腸內菌叢的平衡也是致使本病例發生的另一原因。
4. 文獻報告中指出產氣莢膜芽胞梭菌 Type C 產生的外毒素會引起仔豬下痢死亡,在本次檢驗過程中取病豬腸內容液遠心後接種於小白鼠,在亞急性型及慢性型動物接種試驗的結果,與急性型有明顯的差異,急性型者小白鼠於接種後五小時內死亡,而亞急性型及慢性型者小白鼠無死亡發生。細菌分離方面在亞急性型及慢性型可分離出多種細菌,需多次純化後才能分離出產氣莢膜芽胞梭菌,甚至無法分離出梭菌。但急性型者菌落較為單純,二次純化後即可分離出產氣莢膜芽胞梭菌。由此是否可證明急性型是由產氣莢膜芽胞梭菌所產生的毒素致死,而亞急性型及慢性型是因產氣莢膜芽胞梭菌引起腸管組織壞死導致腸管功能喪失造成死亡。
(二) 參考文獻:
1. 張照夫。芽胞梭菌症。臨床豬病學。P485一494。中華民國獸醫學會主編。華香園出版社。
2. 劉錦志。氰胺牧苑。第十四卷,第一期P63一69、第十五卷,第三期P46一55。
3. 張照夫。氰胺牧苑。第十五卷,第一期P5-11。
4. 張聰洲。中華民國獸醫病理學會。80年度。P43。
5. 蔡睦宗。中華民國獸醫病理學會。85年度。P29。
6. 劉榮標。獸醫微生物學。P365一375。國立編譯館。
7. 蔡文城。微生物學。P542-553。藝軒圖書公司。
8. 吳永惠。牛病學。P169-172。藝軒圖書公司。
9. 屏東縣家畜疾病防治所。豬病防疫輔導手冊P28。
10. P. J. Quinn, M. E. Carter, B. Markey, G. R. Carter. Clinical Veterinary Microbiology. P191-208.