豬 生 殖 與 呼 吸 綜 合 症 與 滴 蟲 感 染 症
- 英文名稱
- Porcine Reproductive and Respiratory Syndrome and Trichomoniasis
- 作者
- 高淑娟 呂完教 賴光明 董光中
- 建立日期
- 96年01月22日
- 更新日期
- 96年01月22日
- 內容
一 、
病 歷 :
本縣池上地區一小型一貫作業養豬場,共飼養大小豬隻約 2500頭,據業者描述,近半年來其哺乳小豬只要一到離乳即發生死亡,畜主曾自行投與各種抗生素而情況均未有改善。哺乳豬大約都在二週齡後開始發生下痢,被毛粗剛,有時一整窩小豬全數死亡,有時則可活存 1 ~ 2頭不等,畜主半年內曾試過各種教槽料及抗生素甚至於母豬料中添加枯草菌素、Ampicillin、Amoxicillin等均無法將病情控制。
二 、
肉眼病變: 1. 外觀:被毛粗剛、削瘦 ............................................................................... 6/6
2. 腹腔內有纖維素 ........................................................................................... 1/6 3. 臍帶有化膿病灶 ........................................................................................... 1/6 4. 肺臟不塌陷,濕重潮紅(圖1) ....................................................................... 4/6 5. 腸管空、迴腸嚴重出血(圖2) ....................................................................... 6/6


三 、 組織病變: 1. 肺臟:間質性肺炎,肺泡間隔增厚,並有單核球及淋巴球浸潤。 2. 腸管:空腸、迴腸粘膜輕微壞死,杯狀細胞增生,腺窩細胞擴張內有大量的滴蟲蟲體。盲腸粘膜層輕度壞死,粘膜下層有炎症細胞浸潤,腺窩內及粘膜表面均可見大量滴蟲蟲體(圖4)。

四、
細菌學檢查 : 將剖檢六頭病死豬之臟器作細菌分離,結果其中一隻分離出少量的大腸桿菌菌落。 五、
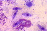
寄生蟲學檢查: 六頭病死豬於剖檢前均先以直接塗抹法行糞便檢查,均可見到大量活動性快速的蟲體。糞便抹片自然風後經甲醇固定以 Giemsa染色,可見到許多滴蟲蟲體及腸道菌(圖 3)。

六、
病毒學檢查 : 將部份病材送請省家畜衛生試驗所檢查結果:豬瘟螢光抗體染色結果為陰性, PRRS病毒分離為陽性。 七、
診 斷 : 豬生殖與呼吸綜合症與滴蟲感染症
(Porcine Reproductive and Respiratory Syndrome and Trichomoniasis)八、
討論及參考文獻 : (一) 討 論: 豬的滴蟲是否具有病原性至今尚未明瞭,筆者於本縣哺乳豬檢驗時曾見過兩場病例,這兩場病例也均有PRRS的感染,是否是因PRRS的感染而導致免疫力受抑制使得滴蟲大量增殖。或是畜主曾投與各種抗生素而改變消化道的pH值使得蟲體大量繁殖,有待進一步的探討。 (二) 參考文獻: 1.
李永基 家畜寄生蟲學P. 218-228藝軒圖書出版社