豬假性狂犬病
- 英文名稱
- Pseudorabies in Pigs
- 作者
- 葛潤儀 陳三多
- 建立日期
- 96年01月22日
- 更新日期
- 96年01月22日
- 內容
一 、
病 歷 :
中部某一豬場,於86年3月份曾爆發過口蹄疫,同年5月初,其所飼養的肥育豬發生食慾減退,腹式呼吸,散發死亡的現象,計其發生率約20%、死亡率約5%,經投與多種抗生素後情形仍未見改善,於是請求獸醫師剖檢診斷。
二 、
肉眼病變: 發病豬隻外觀發育良好,體重約50kg,無明顯病變。雙側耳朵紫紺(圖1)。剖檢發現肺臟紅腫、肺門淋巴結腫大、肝臟上可見有許多針頭大的小白點。 
三 、 組織病變: 1.
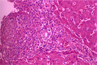
肝臟:實質組織內可見局灶性壞死(圖 3),壞死區內膽管之上皮細胞內有紅色的核內包涵體(圖4) 。

2.
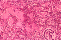
肺臟:肺泡腔內可見水腫液、實質組織局灶性壞死(圖 2),可見紅色的核內包涵體。肺門淋巴結發生局灶性壞死。

四、
實驗室診斷 : 微生物分離:肝臟沒分離到任何細菌。 五、
診 斷 : 豬假性狂犬病(Pseudorabies in Pigs) 六、
討論及參考文獻 : (一) 討 論: 1.
由於豬是本病的自然保毒者,一但感染恢復後常成為持續感染源,隨著各種緊迫因子如:氣候變化、運輸、生產及副腎上腺皮質素注射均可使帶毒豬排毒。自86年3月份發生口蹄疫,造成豬價大跌後,許多養豬戶為了節省成本,就不打豬假性狂犬病疫苗,此點可能為本病在此豬場爆發的主要原因。 2.
豬假性狂犬病在病型上有所差異。病毒毒力、感染劑量、豬齡及個體抵抗能力皆與病型上的差異有關。其病型可分為下列四種(1): 假性狂犬病病毒感染懷孕母豬或公豬可造成流、死產或睪丸變性。(繁殖障礙型) 感染哺乳小豬引起非化膿性腦膜腦炎(神經型)及或併發內臟器官(內臟型)的點 狀壞死灶為主徵,死亡率極高。感染中豬以上的肉豬,則顯現程度不一之肺水腫而 致呼吸障礙。(呼吸型)
此外,Pensaert等人(3)指出,肥育豬感染本病,臨床症狀主要為厭食、高燒、呼吸困難等,死亡率為0~5%,6月齡肉豬接種豬假性狂犬病病毒後,部份豬隻無法完全恢復而有嚴重的腹膜炎、胸膜炎及肺膿腫病灶,最後死亡或淘汰,所以本病例推論為呼吸型的豬假性狂犬病。3.
一般在豬假性狂犬病的診斷上,特徵性病變為非化膿性腦膜腦炎以及在內臟器官形成多發壞死灶伴隨著核內包涵體,根據劉等(2)所述感染假性狂犬病的豬隻其組織發生病灶的頻率以腦最多,再來依次為脊髓、會厭部、扁桃腺、胎盤、淋巴結、肝臟、腎上腺、肺以及脾臟;而核內包涵體在各組織出現之頻率,則以扁桃腺(81.8%)為最高再來依次為胎盤、淋巴結、腎上腺、肺臟、會厭部以及肝臟 (34.8%),另有少數病例在胃與唾液腺發現核內包涵體。本病例為一特殊病例,在肝臟壞死灶周圍沒 有看到核內包涵體,但在壞死組織旁的膽管上皮細胞內卻可見到紅色的核內包涵體, 所以日後在豬假性狂犬病的診斷上除了要觀察上述常見到病灶的組織外,也應留意 一下壞死灶周圍組織的變化。 (二) 參考文獻: 1.
李維誠等。感染假性狂犬病豬隻之類淋巴組織病變及免疫抑制。中華民國獸醫學會雜誌。12 : 15-23。1986。 2.
劉振軒等。豬假性狂犬病組織病理學分析:82個自然感染病例。中華民國獸醫學會雜誌。14 : 219-227。1988。 3. Pensaert, M. B., J. Vandeputte and K. Andries. Oronasal challenge of fattening pigs after vaccination with an inactivated Aujeszky's disease vaccine. Res. Vet. Sci. 32:12-16. 19