豬生殖與呼吸綜合症、沙門氏桿菌 、 鞭蟲與黴漿菌性肺炎混合感染症
- 英文名稱
- PRRS, Salmonellosis, Trichuriasis, and Mycoplasmal pneumonia in Pigs
- 作者
- 賴金鞠
- 建立日期
- 96年01月22日
- 更新日期
- 96年01月22日
- 內容
一 、
病 歷:
本縣斗六市65頭之成豬餿水飼養之舊式肉豬場,於86年7月初向豬販購入一批 50頭豬隻。二週後發現小豬有下痢、呼吸症狀,而後死亡。曾使用藥物Tiamulin、 Ampicillin、Sulpyrin皆未見明顯改善,該場發生率為50/65,致死率為22/50。
二 、
肉眼病變 :
- 外觀:背毛粗剛,削瘦。
- 肺臟:心葉有梅干樣病變及出血區,觸感堅實。
- 肝臟:腫大,表面散發直徑約0.5公分之白色乳斑。
- 心:冠狀溝呈漿液性萎縮。
- 大腸:漿膜面可見水腫,盲腸、結腸黏膜輕微出血及潰瘍灶,另可見1~2cm頭部細長而尾部粗短之小型寄生蟲(圖1),並有灰色黏稠混有白色寄生蟲的腥臭團塊。

三 、
組織病變 :
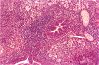
- 肺臟:化膿性支氣管性間質性肺炎(圖4),支氣管及血管周圍淋巴細胞增生,肺間隔增厚並有單核球及嗜中性球浸潤,可見大量的壞死細胞和嗜伊紅性滲出物沈積在肺泡腔,支氣管腔內有壞死的細胞碎片及大量炎症細胞蓄積。

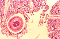
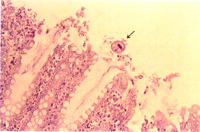
2.大腸:纖維素性壞死性腸炎,粘膜面瀰漫性壞死,腺窩及杯狀細胞增生及炎症細胞蓄積。腸道粘膜表面附有大腸纖毛蟲(Balantidium coli)(圖2)腸腔內有游離的蟲體,高倍可見蟲體前半部細長不對稱的食道及蟲體後部之腸與生殖腺為鞭蟲( Trichuris suis)蟲體的特徵(圖3)

3.肝臟:多發壞死灶。
四、 實驗室檢查 :
1. 細菌檢驗 以腸淋巴結於BPA及MacConkey Agar分離到細菌,經Gram's stain(一), Oxidase(-),API20E鑑定為Salmonella choleraesuis。
2. 病毒檢驗 PRRS病毒抗體檢測為陽性,未分離到病毒。
3. 藥物感受性試驗 Enroffloxacin、Geftiofur、Ofloxacin、Kanamycin'Cefazolin對本病例所分離之沙門氏桿菌菌株有效。
4. 糞便檢查 以浮游法檢出大約50 ~ 60 × 21 ~ 25µm不分節,圓桶形,厚殼,兩極有蓋之蟲卵, 鑑定為鞭蟲蟲卵。
五 、 診 斷 : 豬生殖與呼吸綜合症、沙門氏桿菌、鞭蟲與黴漿菌性肺炎混合感染症 (PRRS, Salmonellosis, Trichuriasis, and Mycoplasmal pneumonia in Pigs)
六 、 處理 、控制及預防 :
1. 糞便集中發酵,以殺死蟲卵,飼料嚴密管理,勿污染糞便。
2. 加強畜舍消毒,母豬及仔豬定期驅蟲。
3. 投予維他命及有效抗生素於飼料中,抑制二次細菌感染,增加抵抗力。
4. 宣導購入仔豬須依政府規定購買25公斤以上之豬隻。
5. 注射豬黴漿菌肺炎不活化疫苗,母豬每胎分娩前二週補強,公豬每半年補強一次,仔豬一週基礎免疫,三週補強。
6. 飼料添加HygromycinB每公噸12g。
7. 仔豬入保育舍時應儘量避免造成緊迫,注意通風及保溫措施。
8. 餿水必須煮沸後才能餵食。
9. 採統進統出方式飼養,統出後,豬舍徹底清洗、消毒並空欄一週以上再進豬。
七 、 討論及參考文獻 : (一)討 論:
1. 鞭蟲蟲卵對化學藥品抵抗力強,對乾燥稍弱,所以本蟲多寄生於多雨或無日光直射環境,尤其是磚造律築地板牆壁縫隙多,成為蟲卵最佳的孵化場所。在適當的環境下,約經三週可發育至具有感染性的蟲卵,總宿主食入後,蟲卵在消化道孵化,仔蟲在盲腸寄生4一5週後,成為成蟲而產卵,每日產卵可達3000一10000個,而性感染時會有6000~13000個蟲體寄生,出現明顯水樣血痢,生長阻滯而死亡。所以平時保持豬舍之乾燥通風,並於出豬後利用熱水沖洗及火焰清理牆角,定期投予驅蟲藥才能防止再發。 2. 豬黴漿菌性肺炎在感染豬群中,其嚴重度隨經營管理、季節、空氣流暢、豬隻飼養密度及其他環境因子而有所差異。一旦侵入豬舍,它會反覆地於此環境中發生,豬隻即使食慾正常,仍會使豬隻發育得大小不均,該場於臨床上無明顯咳嗽,但從豬隻發育不良狀況來看,可能與豬黴漿菌性肺炎存在已久有關。 (二)參考文獻:
1. 張志成等。豬繁殖與呼吸道症候群併發沙氏桿菌症。八十四年度組織病理研討會專輯。P1 - 3。
2. 謝文逸。豬鞭蟲症。八十一年度組織病理研討會專輯。P10 - 11。
3. 邱雲棕。豬黴漿菌性肺炎。八十二年度組織病理研討會專輯。P20-21。
4. 臨床豬病學。中華民國獸醫學會雜誌。P495-509,P510 - 518, P582 - 595,P637 - 639。
5. 楊平政等。豬病診療。台灣養豬科學研究所。P65-78。
6. Rossow, K. D, J. E. Collings, S. M. Goyal, E. A. Nelson, J. Christopher-Hennings, and D. A. Benfield. Pathogenesis of Porcine Reproductive and Respiratory Syndrome Virus Infection in Gnotoriotic Pigs.Vet Path 32:361 - 373, 1995.