豬瘟 、假性狂犬病與沙門氏桿菌混合感染症
- 內容
一 、
病 歷:
本縣某一貫養豬場於口蹄疫發生之前約飼養 2500頭豬隻,本場防疫衛生管理尚可。而在口蹄疫風暴下,病豬撲殺後留下已接種過口蹄疫疫苗的母豬約百餘頭,此批刀下倖 存的母豬約有 10多頭發生懷孕中、後期流產,其他母豬產下之仔豬在離乳後畜主感覺生長發育不佳,部份患豬有食慾減退、精神沈鬱、被毛粗剛、咳嗽與呼吸急促,且有零星神經症狀及下痢情形。畜主曾使用用Norfloxacin、Tyiosin、Lincomycin等藥物皆未見改善。發生率為150/250;致死率為80/150。
二 、
肉眼病變:
l. 外觀:皮毛粗糙,雙耳翼及腿部外側有出血點,咳嗽,部份豬隻下痢。
2. 肺:濕重,潮紅。
3. 胃:粘膜潮紅。
4. 腸:結腸之腸系膜盤繞部呈膠樣水腫,大腸黏膜面鈕扣狀潰瘍灶(圖1) 。
5. 淋巴結:腫大,切面呈周邊出血。
6. 扁桃腺:充血。
三 、 組織病變:
1. 肺:間質性肺炎,巨噬細胞增生,有輕微化膿性肺炎。
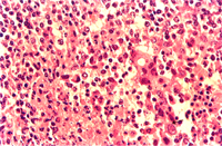
2. 腦:輕微非化膿性腦炎(圖2)。

3. 脾:局部壞死,可見嗜酸性核內包涵體。
4. 肝:多發局部壞死灶,高倍下可見嗜酸性核內包涵體(圖3,4)。

5. 腎:間質性腎炎,內有淋巴球浸潤。
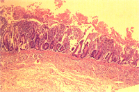
6. 腸:大腸黏膜面壞死脫落及可見大腸纖毛蟲(圖5) 。
7. 淋巴結:周邊出血,淋巴球數目減少。
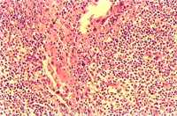
8. 扁桃腺:局部壞死,可見嗜酸性核內包涵體(圖6) 。
四 、
實驗室檢驗: (一)病毒學檢查: 1.
組織冷凍切片螢光抗體檢查法: (1)
採取病豬扁桃腺、腸間淋巴結、脾臟、肺臟等新鮮組織做
4µm之冷凍切片, 染HC FA均為陽性。(2)
採取病豬腦做4µm之冷凍切片,染PR FA為陽性(圖7)。

2. 細胞接種培養法: (1) 取上述之臟器製成10倍乳劑,於低溫3000rpm下離心後取上清液感作PK-15 細胞,2 ~ 3天後染HC FA,可見豬瘟特異螢光(圖8)。

(2) 將腦製成10倍乳劑接種於RK-13細胞,可發現CPE現象。
(二)細菌學檢查:
1. 細菌培養:以病豬之肺臟、肝臟及膽囊等臟器釣菌於Blood agar及MacConkey agar 37℃ 培養18一24小時,結果如下: (1) Blood agar灰白色菌落。 (2) MacConkey agar無色不透明菌落。 Gram's stain:negative短桿菌。
2. 生化學檢驗: Oxidase:negativeAPI-20E鑑定為Salmonella choleraesuis(99.8%) (三)動物試驗: 將腦製成10倍乳劑接種於兔子後腿皮下,觀察三天,兔子發生嚴重搔癢死亡。
五 、 診 斷: 豬瘟、假性狂犬病與沙門氏桿菌混合感染症 (Hog Cholera, Pseudorabies and Salmonellosis in Pigs)
六 、 討論及參考文獻:
(一)討 論: 1. 據疫情調查,本場發生豬瘟及豬假往狂犬病與沙門氏桿菌症混合感染的可能有下列原因: (1) 發病的保育豬約10週齡左右,均於口蹄疫發生之前母豬已經配種懷孕,是否 因為懷孕期間緊急注射口蹄疫疫苗而影響新生仔豬注射豬瘟及假往狂犬病疫苗之抗體力價無法提升至足以保護豬隻不受疾病之侵入?此為需要探討的原因。 (2) 畜主於口蹄疫發生期間並無心力做好防疫工作,口蹄疫風暴過後畜主雖回復防 疫,但仍無以往的積極用心,可能為疏於防疫的結果。 2. 本病例同時有豬瘟及豬假性狂犬病的感染,但未有明顯之肉眼臨床病變,所以何者 為豬隻感染先後原因,目前無法確定。 3. 畜主只是盲目用藥物治療,而使自該場分離出之沙門氏桿菌其抗藥性極強,以藥物 敏感性試驗結果皆無效,因此建議淘汰撲殺豬隻,重新建立防疫體系。 4. 本場曾經發生嚴重的口蹄疫感染,因此對於發生過口蹄疫豬場之飼養方式也許需要 重新檢討,加強豬場的自衛防疫,使復養的工作更為嚴謹。
(二)參考文獻:
1. 中華民國獸醫病理學會八十六年度組織病理研討會專輯。第190次組織病理研討會豬瘟專輯。1997。
2. 李維誠。生長期豬沙氏桿菌症之危害與防治。東盈實業股份有限公司、臺灣蘇威股份有限公司主辦第一屆豬病短期訓練課程。2-4-1-4。1996。
3. 林再春、劉培柏。豬瘟。臺灣省家畜衛生試驗所紀念論文專輯。1 - 5,11 - 48。 1992。
4. 黃天祥等。豬瘟活體快速診斷。臺灣省家畜衛生試驗所研究報告。 30:7 - 10。 1994。
5. 楊平政。假性狂犬病一特別清除計畫。東盈實業股份有限公司、臺灣蘇威股份有限公司主辦第一屆豬病短期訓練課程。
6. 劉振軒等。豬病與屠宰衛生檢查圖譜。臺灣養豬科學研究所。1997。
7. 劉培柏。臺灣之豬瘟問題一兼談豬瘟撲滅計畫。東盈實業股份有限公司、臺灣蘇威股份有限公司主辦第一屆豬病短期訓練課程。P3-6-1-15。1996。
8. 鍾明華。假性狂犬病。臺灣省家畜衛生試驗所紀念論文專輯。P1 - 5,P11 - 48, 1992。 9. Van Oirschot J. T. Hog Cholera.Disease of Swine, 7th. ed. 274 - 285, 1992. 10. Kluge J. P., G. W. Beran, H. T. Hill and K. B. Platt. Pseudorabies. Disease of Swine, 7th. ed. 312-323, 1992. 11. Wilcock B.P. and K.J.Schwartz.Salmonellosis.Disease of Swine, 7th.ed.570 - 583, 1992