豬瘟 、假性狂犬病、沙門氏桿菌與巴氏德桿菌性肺炎混合感染症
- 英文名稱
- Hog Cholera, Pseudorabies and Salmonellosis with Complication of Pasteurella Pneumonia in Pigs
- 作者
- 羅 登 源 洪 振 凱
- 建立日期
- 96年01月22日
- 更新日期
- 96年01月22日
- 內容
一 、
病 歷:
某豬場飼養約l100頭三月齡的豬隻,臨床上呈現下痢及呼吸困難,經lincospectin、 chlorampnenicol、tyiosin及norfloxacin等治療仍無效;豬隻於三、六週齡分別注射過豬瘟疫苗,但從未注射豬假住狂犬病疫苗,病豬發病至剖檢約三週,其發病率約30%,死亡率約20%。
二 、
肉眼病變:
1. 外觀:耳翼、鼻吻部發紺及結膜炎(圖1)。
.jpg)
2. 肝:表面有針狀出血及白點。 3. 脾:脾腫大為正常之2 ~ 3倍,長約39cm(圖2)。

4. 肺:兩側尖、心葉及隔葉上半部呈梅子色且觸感堅實,膈葉下半部散發出血點。 5. 甲狀軟骨:表面局部有黃白色偽膜附著(圖3)。

6. 淋巴結:全身淋巴結腫大且呈暗紅色(圖4)。

7. 迥盲瓣:迴盲瓣有局部潰瘍灶,並有黃色纖維素附著。
三 、 組織病變:
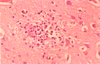
1.腦:大小腦膜及腦實質血管周圍有淋巴球浸潤與神經膠質細胞增生等非化膿性腦膜 腦炎病灶(圖5)。

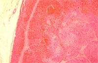
2.肝:多發局部凝固性壞死及出血(圖6)。

3.脾:多發局部凝固性壞死,瀰漫性充、鬱血,淋巴球大暈減少。
4.肺:尖、心葉細支氣管黏膜上皮壞死脫落,管腔中有多量細胞碎片及嗜中性球與巨噬細胞的浸潤,肺小葉間水腫,肺泡內有大量滲出液及嗜中性球與巨噬細胞的浸潤;膈葉可見多發局部出血。
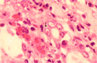
5.甲狀軟骨:黏膜上皮細胞壞死脫落,黏膜下散發局部凝固性壞死,且壞死灶周圍可見嗜酸性核內包涵體(圖7)。
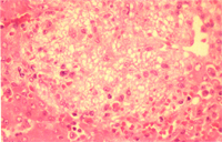
6.淋巴結:周邊出血,淋巴球大量減少(圖8)。

7.扁桃腺:腺窩上皮壞死脫落,多發局部凝固性壞死,壞死灶周圍有嗜酸性核內包涵體。
8.腸:迴盲瓣有潰瘍灶。
四 、
實驗室檢驗: 1. 細菌檢驗: (1)
細菌分離: 以Blood agar及MacConkey agar分別從肝、肺分離細菌於37。C下培養24小 時。結果由肝臟分離之細菌於MacConkey agar上可見無色透明圓形小菌落,肺 臟分離之細菌於Blood agar上呈現灰色及少許半透明樣之菌落形態。 (2)
生化鑑定: 肝臟分離之細菌經革蘭氏染色呈革蘭氏陰性短桿菌,Oxidase呈陰性,經AP120E 鑑定為Salmonella cholerasuis。肺臟分離之細菌經革蘭氏染色呈革蘭氏陰性桿菌, Oxidase呈陽性,經API120NE鑑定為Pasturella multocida。 2. 病毒檢驗:
採取腦、扁桃腺、脾、肺等臟器作成乳劑,經RT-PCR及PCR檢測,結果HCV及 PRV均呈陽性反應。
五 、
診 斷: 豬瘟、假性狂大病、沙門氏桿菌與巴氏德桿菌性肺炎混合感染症
(Hog Cholera,Pseudosabies and Salmonellosis with complication of Pasteurella Pneumonia in Pigs)六 、
討論及參考文獻: (一) 討 論: 1.
本次病例剖檢時各臟器不見明顯之出血點,但淋巴結有明顯周邊出血及脾腫大為正常 2~3倍,需考慮是否有豬丹毒、沙門氏桿菌症、豬瘟或非洲豬瘟之感染,後來經由細菌分離及RT-PCR檢測,結果有沙門氏桿菌及豬瘟病毒的感染。另外值得一提的是本病例剖檢時,甲狀軟骨表面可見局部黃色偽膜附著,而切片下則呈現纖維素性壞死性炎症反應,且壞死區周圍可見嗜酸性核內包涵體,此病灶與牛感染傳染性牛鼻氣管炎相似。 2.
目前台灣之養豬事業遭受空前之劫難,政府及民間均忙於豬瘟及口蹄疫之撲滅. 再加上豬價遲遲無法提升,使得業者忽視其他傳染性疾病之預防及控制,進而使得目前現場有多種疾病之爆發。就本病例而言,雖經二次HC免疫但群體免疫力不見得可發揮到 l00%,因此,少部份豬隻因 HCV存在,亦會降低豬群之 Herd imm]unity,若有PRV併發感染時,更會加重豬隻免疫系統的破壞,因而繼發沙門氏桿菌及巴氏德桿菌的感染。所以目前除了需重視豬瘟及口蹄疫之撲滅外,也應預 防其他傳染性疾病之感染,以免使疫情更難以控制。 3.
本病例病毒檢驗,HCV及PRV均呈陽性反應,並有相關組織病變,可認定為HCV及PRV 共同感染與發病,但因豬為PRV之帶原者,隨豬齡增加,抗病力增加,但也可隨其他病原之感染再發作,故診斷排序上以豬瘟為先,臨床處理也應以豬瘟為主。 (二) 參考文獻: 1.
李淑慧、莊惟超、張韻萍、李維誠等。豬瘟研討會專輯。組織病理研討會專輯。1- 45, 1997. 2.
邱雲棕。豬巴氏德桿菌性肺炎。組織病理研討會專輯。18 - 20, l993. 3.
張聰洲。豬敗血型沙氏桿菌症。組織病理研討會專輯。10 - 13, 1993. 4.
謝文逸。豬假性狂犬病。組織病理研討會專輯。10 - 13, 1993. 5.
Jones TC, Hunt RD. Pseudorabies. Veterinary Pathology, 6th ed. 224-227.1996. 6.
KlugeJP, Beran GW, Hill HT, Platt KB. Pseudorabies. In:Leman AD, Straw BE, Mengeling WL, Allaire SD, Taylor DJ ed. Disease of Swine. 7th ed. Iowa State University Press. 3I2-323.1992. 7.
Lee WC, Liu Cl, Wang JT. Effects of immunosuppression and lymphoid tissue pathology in pigs infected with pseudorabies virus. J Chinese Soc Vet Sci 12 : 15 -23. 1986. 8.
Van JT. Hog Cholera. In : Leman AD, Straw BE, Mengeling WL, Allaire SD, Taylor DJ ed. Disease of Swine. 7th ed. Iowa State University Press. 274-285. 1992.