山羊關節炎腦炎與附紅血球立克次體混合感染症
- 英文名稱
- aprine Arthritis Encephalitis and Eperythrozoonosis in Goats
- 作者
- 張國慧 李淑慧 楊正雄 蕭文隆
- 建立日期
- 96年01月22日
- 更新日期
- 96年01月22日
- 內容
一 、
病 歷 :
台中縣某乳羊場,2歲齡母羊,臨床上呈極度削瘦、前肢雙側肘關節腫脹、粘膜蒼白、食慾不振等症狀,其產下之一個月齡仔羊臨床上呈後軀麻痺無法站立及貧血等症狀,畜主自行以抗生素治療但皆無效。
二 、
肉眼病變: 1.
母羊前肢關節腫大,極度削瘦,肘關節向外突起,切開關節可見大量清徹透明之關節液(圖1),滑膜囊腔的橫切面有多個白色疣狀突起物。 
2.
母羊肝腫大,膽囊輕度水腫。 3. 仔羊肺心葉及尖葉呈暗紅硬實肺炎病灶。
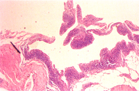
三 、 組織病變: 1.
血液塗抹片檢查可見多數小小圓圓之立克次體樣微生物寄生於紅血球表面(圖2)。

2.
關節: (1) 滑液囊絨毛上皮細胞增生,絨毛之皮下組織可見多數單核細胞浸潤、呈淋巴濾泡樣排列(圖4)。 
(2) 腱鞘組織呈局部壞死灶,壞死區周圍可見大量巨噬細胞、漿細胞及壞死細胞碎片。
3. 腦脊髓:非化膿性腦脊髓炎,於腦脊髓實質可見淋巴球圍管(圖 3)及小神經膠細胞增生聚集等病變。

4. 脾臟及淋巴結:呈局部壞死灶。
四、
診 斷 : 山羊關節炎腦炎與附紅血球立克次體混合感染症 (Caprlne Arthritis Encephalitis and Eperythrozoonosis in Goats) 五、
討 論 : 1. 山羊關節炎腦炎,是山羊很重要的一個病毒性慢性消耗疾病,本病毒感染羊隻後不會在短期內直接造成羊隻死亡,主要為潛在性感染,病程緩慢約數個月,有時至數年後才會發病,在成羊主要侵犯關節,滑液囊及腱鞘,最常發生在膝關節,又通稱為大膝病("Big Knee")。2~9歲的羊隻感染本病的機率最高,臨床上患羊呈消瘦,被毛粗剛,前肢膝關節腫大,雖食慾仍正常,但真會引起乳房炎對乳羊之泌乳及乳汁品質有很大之影響,故會間接造成經濟上的損失。台中市家畜疾病防治所宋明華先生等對本省羊隻進行抗體調查,發現感染率約在6O%以上,故可知本省羊隻廣泛受本病毒之侵襲,本病毒除會感染成羊外,亦會感染6月齡以內之仔羊,主要是引起呼吸道及神經症狀,臨床上仔羊會有肺炎及腦脊髓炎,常會引起後軀麻痺造成運動失調或跛行等症狀。 2. CAE最早於1974年在美國華盛頓州之乳羊場被證實,接著於澳大利亞、紐西蘭和英國也陸續發生,目前靠血清抗體檢測方法得知,本病已廣泛存在世界各地。本省最早於1993年由台灣養豬科學研究所提出病例報告,證明本省已發生CAE (Loung, 1993),中興大學獸醫系李維誠教授於1996年以血清抗體檢測方式,檢測本省66個羊場735隻血清樣品,發現75.9%的陽性率,故可推測本省羊群已廣泛感染本病。 3. 本症之主要傳播路徑是經由吸吩母羊的初乳或乳汁而感染,雖然經由胎盤感染亦可能發生,但一般而言感染機率較低,若靠羊與羊之間接觸傳染則需很長的時間才可成立。 4. 要杜絕本病必需將小羊出生後立即與受感染母羊分開,並餵飼加熱處理過(56℃,1小時)之初乳或由奶媽(未曾感染本病之母羊)餵哺。小羊至3月齡斷奶前應飼養於通風良好之隔離舍,並餵食不含CAE病毒之山羊乳汁,若要徹底杜絕本病之傳染及危害羊群,陽性羊隻應予淘汰。 5. 本病目前尚無疫苗可用。