哺乳羊產氣莢膜芽胞梭菌感染症
- 英文名稱
- lostridium perfringens Infection in Lamb
- 作者
- 高淑娟 呂完教 賴光明
- 建立日期
- 96年01月22日
- 更新日期
- 96年01月22日
- 內容
一 、
病 歷 :
東部地區某一山羊場,共飼有羊隻約150頭,其中種公羊3頭,種母羊約有50頭,肥育羊70頭,1~3月齡仔羊25頭及剛出生一週齡仔羊6頭。日前剛進入仔羊生產季節,其中有一胎出生二日之仔羊臨床呈現哀鳴並排血便(圖1),因過去飼養羊隻未見過此症狀,故送請本所檢驗。

二 、
實驗室檢查 :
小腸出血與正常交接部位抹片以革蘭氏染色可見到染色性呈陽性肥胖桿菌,腸內容物以 4,000 rpm遠心30分鐘後取上清液腹腔注射一組小白鼠三隻,結果有一隻小白鼠於接種後5小時死亡,另兩隻則於24小時後陸續發病死亡。
三 、
肉眼病變: 1.
第四胃漿膜面有出血斑(圖2) 。 
2.
膀胱圓韌帶出血。 3. 小腸後段及大腸腸管出血,腸腔內含大量紅黑色內容液

4. 心內膜有二處出血斑。 四、
組織病變: 1.
膀胱圓韌帶漿膜面出血。 2.
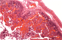
心肌局部出血。 3. 空腸、迴腸之腸腔內可見到腸管粘膜層嚴重出血壞死,粘膜下層氣腫,血管內鬱血並有血栓形成(圖4)。 
五、
診 斷 : 哺乳羊產氣莢膜芽胞梭菌感染症(Clostridium perfringens Infectionin Lamb) 六、
討論及參考文獻 : (一) 討 論: 產氣萊膜芽胞梭菌在羊隻的危害以肥育羊群和過食精料的泌乳羊群較常見,臨床上羊隻有些伴隨下痢及神經症狀,多數羊隻於臨床上無症狀卻突然死亡,尿液檢查尿糖為廿到卅。剖檢時有些可見壞死性腸炎,有些則只見到腐肉的病變。肥育羊及泌乳羊只要減少精料給飼或降低飼料中高能量及高蛋白物質即可有效預防本病發生,本病例除了送剖檢這頭仔羊外,其他羊隻並無發病情形,是屬於偶發性病例。 (二) 參考文獻: 1.
張照夫。芽胞梭菌症。臨床豬病學。P.485-494。中華民國獸醫學會主編。華香園 出版社。 2.
劉錦志。氰胺牧苑。第十四卷,第一期P.63-69、第十五卷,第三期P.46-55。 3. 屏東縣家畜疾病防治所。羊病防疫輔導手冊。P.57-58。 4. Mary. C. Smith, David. M. Snerman. Goat Medicine. P.343-344. 1994. 5. K. A. Linklater, M. C. Smith. Diseases and disorders of the sheep and goat. P.28, 33, 84, 137, 178, 200. 1993.