大鼠黴漿菌症
- 英文名稱
- Murine Respiratory Mycoplasmosis
- 作者
- 梁鍾鼎 林郁里 劉振軒 陳憲全 黃坤正
- 建立日期
- 96年01月23日
- 更新日期
- 96年01月23日
- 內容
一 、
病 歷 :
送檢病材,SD母鼠,8月齡。皮毛粗剛,弓背姿,呼吸雜音。 二 、
肉眼病變: 不明顯,前腹端肺臟輕微磚紅色肝變,其它器官正常。 三 、
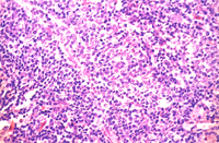
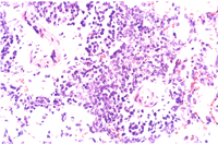
組織病變: 肺臟部份區域可見圍小支氣管及圍血管周圍淋巴組織增生(圖3),這些細胞以淋 巴球及少量巨噬細胞和漿細胞為主(圖4)。
其它病變可見第二型肺泡細胞增生,小支氣管上皮細胞肥大增生,小支氣管擴張, 肺泡間隔淋巴球及漿細胞等浸潤。

四 、
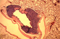
實驗室診斷 : 送檢16頭血清檢體,80%(13/16)以酵素免疫吸附法(ELISA)檢測黴漿菌抗體呈陽性反應(圖2)。

五 、
診 斷 : 大鼠黴漿菌症(Murine Respiratory Mycoplasmosis) 六 、
討論及參考文獻 : (一)討 論:
黴漿菌症為大小鼠首要病原,而且可藉由空氣或接觸感染,一旦發生,其難滅絕。 黴漿菌有20多種血清型,而一般會造成人或囓齒類感染為:M. collis : 非致病性,存在於大小鼠之鼻咽部及結膜,亦有報告指出會造成生殖道感染。 M. arthritidis : 大鼠關節炎。 M. neurolyticum : 小鼠旋轉病。 M. pulmonis : 鼠類及兔子重要呼吸道傳染性病原。為大小鼠首要呼吸道病原其鑑別診斷見表一。 M. pneumoniae : 人類非典型肺炎。 M. hominis : 人類婦女生殖道感染。 而人鼠之間不同的黴漿菌亞型,一般而言並不會互相感染,亦即並非人畜共通疾病。 大鼠對黴漿菌較敏感,而報告指出不同的菌種中以上M. pulmonis 具顯著呼吸道致病性。患鼠出現體重減輕、呼吸困難或呼吸道震顫聲。一旦環境中氨濃度高過25ppm以上或病毒(Sendai,MHV)合併感染則會加重黴漿菌感染之疫情。感染途徑可經空氣傳播、子宮感染及接觸等方式。臨床症狀有時在感染後 3~6個月才出現。病變一般呈不顯性或輕度症狀,鼻腔、呼吸道、中耳、子宮是檢查重點。肉眼可見化膿性鼻炎、肺前腹端肝變、支氣管擴張、肺膿瘍或中耳炎。組織相特徵為呼吸道上皮細胞扁平化生,纖毛消失,感染鼻腔黏膜及咽上皮細胞出現聚合細胞(syncytia),肺臟圍支氣管及圍血管周圍淋巴球及漿細胞增生,慢性小支氣管炎,小支氣管擴張,化膿性中耳炎。
而大鼠肺臟之支氣管圍管現象是以淋巴球為主,而小鼠則以漿細胞為主,此點為其 不同。裸鼠鼻腔接種M. pulmonis會發病造成關節炎,一般小鼠則不會。此為證明黴漿菌感染方法之一。
黴漿菌感染亦會造成卵巢周圍炎(perioophoritis),輸卵管炎(salpingitis),子宮內膜炎,甚至子宮蓄膿(pyometra)但其與呼吸型黴漿菌之關係尚未明瞭。
最令人困惑的是動物一旦感染,似乎很難完全痊癒,因為徽漿菌似乎有一種欺騙宿主免疫反應之本領,其機制不明,它藉著一種抗原偽裝的能力,能貼附宿主上皮細胞並通過其黏膜防禦系統,溶解細胞進而因其有細胞核內酵素,所以能利用宿主之DNA及RNA作為其自身核酸複製之前驅物。
它很小,是最小的游離生物,沒有細胞壁,多形性,可呈球形(250~300 nm)、 鞭毛狀(1~2
,細胞培養可達150
)或呈淚珠狀。你不覺得它很可怕嗎?很像魔鬼終結者第二集中的液晶機械人。不管如何,它是在檢查大小鼠肺臟第一位要考慮的主要病原(表一)。
Group I :
主要呼吸道病原,常混合感染。 Group II :
次要呼吸道病原,散發或在緊迫狀況下易爆發。 Group III :
機會性或非自然感染病原,但可能對其他種別實驗動物較重要。 b :
綜合 Group I、II、III,各種病原在大小鼠呼吸道之重要性由上至下,依序排列。 (二)參考文獻:
1.
Gilles L. Detection methods for the identification of rodent viral and mycoplasmal infection. Lab Anim Sci 41(3):210-212, 1991. 2.
Nichols PK et al. Pulmonary clearance of mycoplasma pulmonis in rats with respiratory viral infections or of susceptible genotype. Lab Anim Sci 42(5):454 -457, 1992. 3.
Schoeb TR et al. Effects of viral and mycoplasmal infections, ammonia exposure, vitamin A deficiency, host age, and organism strain on adherence of mycoplasma pulmonis in cultured rat tracheas. Lab Anim Sci 43(5):417-423, 1993.

