裸大鼠肺囊蟲症
- 英文名稱
- Pulmonary Pneumocystosis in Athymic nu rats
- 作者
- 梁鍾鼎
- 建立日期
- 96年01月23日
- 更新日期
- 96年01月23日
- 內容
一 、
病 歷 :
送檢之裸大鼠,消瘦,母,1歲,呼吸困難。 二 、
肉眼病變: 肺臟堅實,不規則斑駁狀棕灰色肝變區域(圖1)。 
三 、
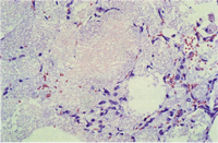
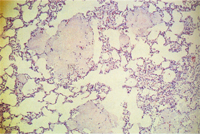
組織病變: 許多肺泡可見顆粒狀、泡沫狀、嗜酸性之無組織結構物質不規則散佈於肺泡中,間 雜肺泡巨噬細胞,少量嗜中性球,圍小支氣管及圍血管淋巴球及漿細胞增生,肺泡第二 型細胞增生(圖2,3)。

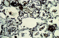
l. GMS染色可見球型,棕黑色,直徑2 ~ 6µ陽性物質(圖4)。

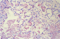
2. PAS染色可見界限不明顯,不規則散佈於肺泡中,粉紅色至紅色陽性物質(圖5, 6 )。

四 、
診 斷 : 裸大鼠肺囊蟲症(Pulmonary Pneumocystosis in Athymic nu rats) 五 、
鑑別診斷 : 1. 大鼠肺磷脂症(phospholipidosis)。 2. 大鼠肺組織球增生症(histiocytosis)。 3. 肺臟真菌性黴菌感染。 六 、
討論及參考文獻 : (一)討 論:
肺囊蟲寄生的宿主非常廣泛,包括靈長類、大鼠、小鼠、天竺鼠、犬、豬、山羊、兔子、貓、馬、綿羊、野生動物等。一般在免疫缺陷狀況下才易發病,例如人患有AIDS,或SCID、numice、nurat等。免疫功能正常之人或動物則會形成不顯性感染。
一般寄生於呼吸系統(肺臟)。病原藉由空氣傳播,較少藉由糞尿或土壤傳染。
據統計,人類之不顯性感染率約1~10%,但,報告指出4歲以上有高於75%的抗體陽性反應。
實驗上誘導發病可藉由高劑量類固醇投藥、細胞毒性治療或放射性處理等方式進行。馬,尤其是阿拉伯(Arabian)種幼馬,疑患有先天免疫不全症,併發腺病毒感染時易爆發此病。犬,迷你品獵犬(miniature dachshunds),在8~24月齡時易感染。
離乳仔豬爆發肺囊蟲感染亦曾有報告,其病變類似人類嬰兒感染,為非化膿性間質性肺炎。
此蟲體生活史尚未完全明瞭,分類學上亦有爭議,部份學者認為它是一種原蟲,但亦有不少人認為它是一種酵母菌(yeast)。基本上它有3種發育上之形式可供鑑定或診斷:
一般抗囊蟲藥作用於滋養體階段,而無法侵透囊胞。但某些抗黴菌藥則選擇性作用於囊胞,並可抑制滋養體的增生,可見囊胞對滋養體之複製有不可缺之影響。肺囊蟲究竟屬於黴菌或原蟲仍有爭議,所以有人以 "protist" 名之。肺囊蟲一般只有單一種P. carinii,囊胞與滋養體在組織切片特殊染色之差異如下(表一)。1. 滋養體(trophozoite):小,多形性,數量最多,單套滋養體交配形成雙套(diploid) 滋養體。 2. 前囊胞(precyst):雙套滋養體經2次減數分裂及1次有絲分裂形成內有8個囊胞子體(intracystic bodies)之前囊胞。此前為一過渡無性時期。 3. 囊胞(cyst):前囊胞中之囊胞子體經細胞分化過程,形成獨立的核、粒腺體、細胞質及厚壁具感染能力之成熟子體,準備釋放(有性時期)成為單套滋養體。
肺囊蟲有2種主要抗原,一種為主要表面醣蛋白(major surface glycoprotein, MSG)又稱gp120,gpA,位於蟲體表面之酸性醣蛋白,含豐富葡萄糖、甘露糖及N-acetylglucosamine。當蟲體寄生於宿主時,此醣蛋白扮演重要角色。另一抗原為45~55KD,低分子量,所在位置及功能尚未完全明瞭之醣蛋白。致病機制主要藉由呼吸道感染,吸附於第一型肺泡細胞,藉由fibronectins,MSG等蛋白質與宿主細胞表面受體結合,進入至細胞內,欺騙肺泡巨噬細胞,以逃避宿主的免疫反應,並開始增生繁殖。當宿主自身免疫狀況有缺陷時,則蟲體有如入無人之境,長驅直入,大量繁殖。
(二)參考文獻:
1. Lanken PN et al. Alveolar response to experimental Pneumocystis carinii pneumonia in the rat. Am J Pathol 99 : 561-588, 1980. 2. Long EG et al. Attachment of Pneumocystis carinii to rat pneumocytes. Lab Znvest 54 (6) : 609-615, 1986. 3. Weir EC et al. Spontaneous wasting disease in nude mice associated with Pneumocystis carinii infection. Lab Anim Sci 36 (2) : 140 - 144, 1986. 4. Furuta T et al. Fatal spontaneous pneumocystosis in nude rats. Lab Anim Sci 43 (6): 551-556,1993. 5. Kondo H. Taguchi M, Abe N, Nogami Y et al. Pathological changes in epidemic porcine Pneumocystis carinii pneumonia. J Comp Pathol 108 (3) : 261 - 268, 1993.