狗肉芽腫性腦膜腦脊髓炎
- 英文名稱
- Canine Granulomatous Meningoencephalomyelitis
- 作者
- 陳憲全 黃坤正 梁鍾鼎 黃彥智
- 建立日期
- 96年01月23日
- 更新日期
- 96年01月23日
- 內容
一 、
病 歷 :
10年前美東Wilmington鎮的一個五月天,一早畜主送來一隻8歲齡 Keeshound 公狗到Beavelere Animal Clinic獸醫診所請求急救。畜主報告昨日上午他家後院草坪實施新春以來第二次的施肥與噴灑驅蟲除雜草劑(Dursban與Trimac992兩種藥)。當天下午6時,(噴灑後5小時)畜主外放本狗於該後院,約30分鐘後擬讓該狗進入屋內,卻發現該狗走路蹣跚,身體朝左偏,走時趨向反時針方向走。畜主帶進屋後約一小時,該狗即倒地不起,頭朝左,眼珠翻白朝上。當時該狗病情惡化,主人同意施以安樂死。 二 、
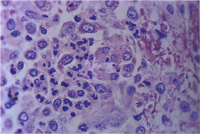
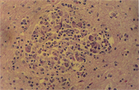
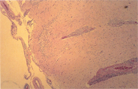
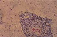
肉眼病變: 局部性慢性炎症見於整個腦組織,主要侵犯血管周圍形成很厚的非化膿性炎症細胞增生(圖1),包括淋巴球、組織球、類上皮細胞、吞噬細胞與少許漿細胞,偶爾亦有嗜中性球(圖2)。炎症細胞圍繞血管厚薄不一,圍繞不均勻,有時較集中於血管一端而呈偏心。又各種炎症細胞出現增生程度不均,有的圍繞為清一色淋巴球(圖3),有的則大部分為組織球或吞噬細胞(圖4)。特殊染色如PAS並無特殊發現,本病例又可看到一些血管變性(degenerated vessels)。病變發生於腦脊髓與腦膜,灰白質均可被侵犯,炎症細胞增生,侵犯非只限於血管周圍,亦可侵入腦實質neuropil。


三 、
診 斷 : 狗肉芽腫性腦膜腦脊髓炎(Canine Granulomatous Meningoencephalomyelitis) 四 、
討論及參考文獻 : (一)討 論:
本病變granulomatous meningoencephatomyelitis發生並非很少見,但只見於狗,最早報告為1972年Frankhause等人,1974年美加州大學的Cordy收集到有30多個病例。其他國家陸續報告的有澳洲,紐西蘭,西歐幾個國家如英國,瑞士。
本病變最先描述為 Reticulosis網狀織病,目前已改為 Granulomatous encephalitis (meningoencephalomyelitis)與Reticulosis分開。因為 reticulosis指腫瘤性病變,並不能代表本病腦內出現多種混合性的炎症細胞的病變 。本病變可能為一種免疫病理性反應 ,病原發生可能與病毒感染有關 ,病狗血清免疫蛋白 IgM 可高到 0.4~1.0 g/1。
如前述本病變所出現不同型炎症反應細胞為一種混合性 ,細胞出現圍繞 ,然亦可局部出現於腦實質 neuropil,非只限於血管圍繞 。另外病變還可有腦實質散佈有細小的空洞化 vacuolation,與腦軟化 encepnalomalacia,但本病例則幾乎沒有。病變亦有報告見於視神經,然而血管變性報告仍闕如。
本病變在組織病理上的鑑別診斷 (Differential diagnosis)應包括 :
又本病例發生是否如畜主所敘述與曝露到後院草坪所噴灑之農藥有關 。由 Dursban與Trimac 992 所製造公司並無此種中樞神經毒病理報告,可能曝露農藥為一偶發事件 ,該狗本已有腦病變 ,農藥是否擔當一種板機 (trigger)作用則不知 。1. Encephalocytozoon infection /Toxoplasmosis 2. Canine distemper/old dog encephalomyelitis 3. Hepatic encephalopatny/Infectious canine hepatitis (二)參考文獻: 1. Alley MR, Jones BR,and Johnstone AC : Granulomatous meningoencephalitis of dogs in New Zeland. New Zealand Vet J 31 : 117 - 119, 1983. 2. Braund KG, Granulomatous meningoencephalomyelitis. J Am Anim Hosp Asso 186 : 138 - 141, 1985. 3. Cordy DR : Canine granulomatous meningoencephalomyelitis. Vet Pathal 16 : 325 - 333, 1979. 4. Fisher CA and Liu SK : Neuro-ophthalmologic meninfectations of primay reticulosis of the central nervous system in a dog. J Am Vet Med 158 :1240- 1248, 1971. 5. Frankhauser R, Fatzer R, and Luginbuhl H : Reticulosis of the control nervous system (CNS)in dogs. Advances in Vet Sci and Comp Med 16 :35 - 71, 1972. 6. Glastonbury JRW, Frauenfelder AR : Granulomatous meningoencephalitis in a dog. Australian Vet J 57 : 186 - 189, 1981. 7. Vandevelde M : Neurologic disease of suspected infctious origin. In : Grecne EE (ed) Infectious Disease of the Dog & Cat, PP862 - 870, WB Saunders CO., Philadelphia.