倉鼠慢性腸炎
- 英文名稱
- Chronic Enteritis of Hamster
- 作者
- 陳憲全 黃坤正 梁鍾鼎 黃彥智
- 建立日期
- 96年01月23日
- 更新日期
- 96年01月23日
- 內容
一 、
病 歷 :
7~8個月齡倉鼠 Bio
15.16為某公司倉鼠終生存活率研究計劃 (Life-Span Survivability Stage of Bio
15.16Hamster)。因病多日,肛門周圍污染下痢軟便,有惡臭,動物腹部稍腫脹,體重減輕有脫水現象,厭食、毛髮失去光澤等,公鼠已呈病危臨死(moribund),因此將公、母鼠予以安樂死。二 、
肉眼病變: 公鼠肉眼病變顯著在小腸後半,特別在空腸後段與迴腸部分(圖1),腫脹、黃白粗糙,腸壁增厚、粘膜呈白黃色有多處壞死。盲腸與結腸連接盲腸處亦有腸炎肉眼病變。另一鼠病變較輕度,病變主見於盲腸與結腸部分,空腸部分較前鼠(公)輕度。 
三 、
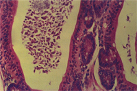
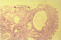
組織病變 : 公鼠小腸病變特別在迴腸粘膜增厚,絨毛增高、寬,腸腺上皮(Crypt epithelium )增生,腸腺管腔時呈囊狀擴張(Cystic dilatation),腔內並含有中性球呈隱窩炎( Cryptitis)。腸腺管增殖並向下方增生擴張,可穿透粘膜肌層(mucosal muscularis) 下方(圖 2)。此鼠的組織病變在盲腸較增厚,腸腺管上皮增生嚴重,濃染,分裂相( mitotic figures)很多,並在腸粘膜固有層(lamine proplia)與粘膜肌層浸潤有大量慢性炎症細胞呈肉芽腫性樣反應(granulomatous reaction)(圖3)。

四 、
診 斷 : 倉鼠慢性腸炎(Chronic Enteritis of Hamster) 五 、
討論及參考文獻 : (一)討 論:
慢性腸炎在倉鼠為最常見最重要的自發性疾病之一,發生原因不很明確。在細菌分離方面,報告有分離到大腸菌(E. coli)、梭狀菌(Clostridium spp)、變形桿菌( Proteus spp)、綠濃桿菌(Pseudomonas spp)與麴狀菌(Campylobacter)等,一般卻認為Campylobaceter fetus intestinalis 為主兇,但如以培養基培養出來的細菌來攻毒接種感染試驗並不引起倉鼠腸炎。
倉鼠的慢性腸炎最典型者為增生迴腸炎(proliferative ileitis),又稱為濕尾症( wet tail),局部性腸炎(regional enteritis)及傳染性迴腸增生症(transmissible ileal hyperplasia)。因為嚴重病例,腸腺管增生感染有如癌症樣細胞的增殖,故本病發現初期,有人定名為動物地方性腸腺癌(enzootic intestinal adenocarcinoma)。組織病理所見與豬的porcine proliferative enteritis或貂鼠的proliferative colitis很相似。
雖然本病病原發生仍未十分瞭解,但一般飼養倉鼠,如長期飼養,慢毒性實驗時, 由其健康監測用到的哨兵鼠(sentinel animals)的例行解剖,有時可看到倉鼠小腸與結腸含有輕度腸炎,如colitis(圖4),感染有大量的鼠螺旋核原蟲(Spironucleus muris )組織病理為輕度腸絨毛頂尖部分之上皮細胞會壞死剝落,如取些腸內容物做塗抹片檢查,可發現有許多梨型狀原蟲,約7~8 × 2~5
大小,或許時日較久後會引起許多細菌的混合感染而導致這種增生性迴腸炎或慢性腸炎。診斷確認可做細菌分離,組織病理特殊染色,如抗酸菌染色法,螢光免疫或電顯檢查,以資證明麴狀菌的寄生在腸腺上皮細胞內(intracytoplasmic)。
(二參考文獻):
1.
Amend NK, et al:Transmission of enteritis in the Syrian hamster. Lab Anim Sci26:566 - 572, 1972. 2.
Frisk CS and Wagner JE:Hamster enteritis:A reviews. Lab Anim 11:79-85, 1977. 3.
Lentsch, et al:Campylobacter fetus subspecies jejuni isolated from Syrian hamsters with proliferative ileitis. Lab Aminal Sci. 32:511 - 514, 1982. 4.
Van Hoosier GL and Ladiges WC:Biology and Disease of Hamsters, in Fox JG, Cohen BJ and Loew FW(eds):Laboratory Animal Medicine, Orlando, FL, Academic Press Inc, P123 - 147, l984