犬賽托利氏細胞瘤
- 英文名稱
- Canine Sertoli Cell Tumor
- 作者
- 林正忠 吳福明
- 建立日期
- 96年01月22日
- 更新日期
- 96年01月23日
- 內容
一 、
病 歷 :
中部某犬舍,飼養之六歲德國狼犬公狗,有單側性隱睪。因右側第五乳腺呈單側性腫大。經放射線及超音波影像檢查,可見於腹腔後方進入骨盤腔位置有一大型直徑約 7 公分之團塊。經外科手術自腹腔中摘除。該團塊為一粗約1.5公分直徑,長度約20公分之蔓狀暗紅褐色管狀構造與團塊連接。臨床診斷為犬隻腹腔隱睪與精索之構造。
術後患犬恢復良好,且乳腺腫脹消退。二 、
肉眼病變: 由外科送檢之病材觸感較硬實呈倒三角型;長徑7.5公分,高7.8公分,厚5.2公分,頂端有精索連接。腫瘤外有明顯且粗大之血管分佈於表面,顏色為淺紅褐色。腫瘤外有深褐色薄且不透明之被膜包覆,可輕易將之掀起(圖1)。腫瘤固定後,切面可見腫瘤呈白色略有淡淡黃色。而中央有直徑約2公分區域略顯紅色(腫瘤壞死核心)觸感硬實。細部可見腫瘤有多量白色小分葉,且分隔明顯,整個腫瘤被薄的結締組織所包被 (圖2)。部分小葉呈膠狀半透明,蔓狀之血管切面可見充滿大量血液及透明淋巴液。

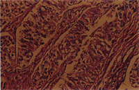
三 、
組織病變 : 可見豐富結締組織(以成熟纖維為主)形成支架,分隔著生精小管。而生精小管之管腔中幾乎為質淡染、具有細小空泡、且核呈卵圓至橢圓、淡染核仁明顯之腫瘤細胞所填滿。腫瘤細胞大小一致,呈長多邊形到長三角形(圖3, 4)。

四 、
診 斷 : 犬賽托利氏細胞瘤 (Canine Sertoli Cell Tumor) 五 、
討論及參考文獻 : (一)討 論 : 1. 犬賽托利氏細胞瘤為功能性腫瘤可分泌動情激素致使雄性犬乳腺腫脹,且有吸引其 他公狗騎乘之臨床表現。 2. 患犬為典型隱睪之睪丸產生腫瘤之病例。且本腫瘤為公狗隱睪之最常見腫瘤。但不同教科書對於本腫瘤之外觀顏色描述略有差異,有些為灰白,有些黃色。但與犬隻常見之睪丸腫瘤包括精細胞瘤與間質細胞瘤,與本腫瘤之特徵比較,臨床表徵為診斷本病最易診斷之處。由顏色之軟硬程度有時易與精細胞瘤混淆。 (二)參考文獻: 1. 李崇道。獸醫病理學。P700-705, 1988。 2. Curran R.C. Color Atlas of Histopathology. 3rd edition, P188-227, 1985. 3. Jones T.C., R.D. Hunt, N, W. King. Veterinary Pathology. 6th edition. P1209-1214, 1997.