駝鳥之麴菌症
- 英文名稱
- Aspergillosis in an Ostrich
- 作者
- 王政賢 趙典樹 李淑慧 蔣 飛
- 建立日期
- 96年01月22日
- 更新日期
- 96年01月22日
- 內容
一 、
病 歷 :
台南縣某野生動物園內一隻5月齡駝鳥感染麴菌症,發病之駝鳥臨床上呈現食慾不振、消瘦、無法站立及呼吸急促等症狀。 二 、
肉眼病變: 1. 外觀:發病駝鳥食慾不振、精神沈鬱、無法站立、呼吸急促、瘦弱、死亡率100%。 2. 剖解: (1) 全身氣囊散發許多白色乾酪樣結節,有些類似火山口樣之盤狀物附著且附著物表面可見薰煙色絲狀物(圖1)。 
(2) 在胸壁、胃、腎、肝之表面均可見白色乾酪樣結節。 (3) 心尖處有白色壞死灶。 (4) 腸粘膜面潮紅充血。 (5) 腦膜血管輕微怒張。
三 、
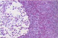
組織病變 : 病變區以PAS染色,可見典型肉芽腫樣病變,並可見多量分枝且分節之紅染黴菌菌 絲於壞死區內(圖3)。 
四 、
實驗室檢查 : 1. 由肝、肺、腎等臟器,細菌培養為陰性。 2. 臟器病變部壓片檢查,以Lactophenol Cotton Blue染色可見黴菌菌絲(圖4)。 
3. 白色盤狀乾酪樣附著物,以Sabouraud Dextrose Agar、Blood Agar及Chocolate Agar經37℃、24小時培養,可見白色絨毛狀黴菌菌落。 4. 以黴菌載玻片培養法,可清楚觀察黴菌之生長形態,等菌絲適當生長,再加少量之 Lactophenol Cotton Blue染色鏡檢,可見大量如皇冠散射狀之分生抱子及有分枝且分節之麴菌菌絲 五 、
診 斷 : 駝鳥之麴菌症 (Aspergillosis in an Ostrich) 六 、
討論及參考文獻 : (一)討 論 : 1. 本省地處亞熱帶,氣候高溫多濕,適於黴菌之滋長,極易造成飼料及粗料例如牧草等的污染,其可直接由口食入造成患畜感染,在高度污染區因孢子大量飄散於空氣中,使體弱的動物因多量吸入而造成呼吸系統之感染,甚至死亡。 2. 麴菌症好發於家禽類如雞、火雞等,在動物園之水禽(如企鵝)及飛禽(如鴿)亦有感染報告;本病例經本所診斷並告知預防及控制之道後,至今該園雖陸續有10餘個駝鳥病例,卻未曾再見到本病的發生。 3. 本症之病原菌雖廣泛存於環境中,但成年健康之動物不易發病,對幼畜幼禽遇有緊迫或其它因素導致抵抗力下降時,極易受此黴菌危害,基於對野生動物疾病防治之關切,特將此病例提出報告。 4. 麴菌症的控制及治療 (1) 預防本病發生主要靠良好的飼養管理,保持飼養環境乾燥;飼養場地用抗黴菌消毒劑Enilconazole 15%(中化)消毒。 (2) 發病時添加Ketoconazole(3mg/kg)或Nystatin、安亦妥等治療。 (3) 飼料應存放於通風乾燥處。 5. 在實驗室中培養黴菌應注意無菌操作,避免污染;培養後之培養基應高壓蒸氣滅菌方可廢棄處理。 (二)參考文獻: 1. 宋華聰、林茂勇。禽病診治。P207-219。1988。 2. 李淑慧。鴿麴菌症。八十年度組織病理研討會專輯。1991。 3. 羅登源、龔順榮。火雞麴菌症。八十二年度組織病理研討會專輯。P74-75。1993。 4. 邱慧英、張志成。駝鳥黴菌性肌胃炎。八十二年度組織病理研討會專輯。P84-85。 1993。 5. 林茂勇。黴菌毒素學。1991。 6. 蔡文城。實用臨床微生物診斷學。 