豬假性狂犬病
- 英文名稱
- Pseudorabies in Pigs
- 作者
- 王金順;陳詠宜 ;李維誠
- 建立日期
- 96年01月18日
- 更新日期
- 96年01月18日
- 內容
一、 病歷: 雲林縣某一貫養豬牧場於88年8月底至9月初,在一棟飼養頭數約為一千隻的水簾式
豬舍,發電機前後故障兩次之後,於9月4日起,陸續發現12週齡的肥前肉豬有乾咳、精
神沈鬱、食慾不振、發燒、流鼻水、橫臥時可見划水狀運動、急性死亡之情形,有的暴
斃豬隻皮膚可見點狀出血,死亡率約1﹪。疫情發生之後,場內已自行給予抗生素
(Chloramphenical&Lincospectin),並於水簾中添加四級胺類消毒水 (TH4)。稍後分娩舍有
三胎初生小豬呈現不吃乳、衰弱而後死亡,及兩頭母豬流產之疫情發生。該棟水簾式豬
舍鄰近的肉豬舍,曾於87年11月發生過類似流行性感冒的疫情。送檢病材為12週齡肥前
肉豬一頭及初生仔豬二頭。二、 肉眼病變:
肥前肉豬營養狀況良好,體表無明顯病變。剖檢可見全身淋巴結腫脹,下頜淋巴結
可見明顯大區域之壞死;扁桃腺及咽喉部黏膜亦見灰白色壞死潰瘍灶(圖 1)。雙側肺
臟呈現潮紅濕重,右側心、尖葉有局部肉樣病變。肝臟腫脹;迴盲瓣有黃白色小潰瘍灶
。其餘臟器無明顯病變。初生仔豬剖檢可見肺臟呈現水樣潮紅,下頜淋巴結可見明顯之
壞死灶。三、 組織病變: 肥前肉豬: 1.
腦:非化膿性腦膜腦炎,可見明顯之單核細胞圍管現象、神經膠質細胞過多及脫髓鞘
等病變(圖2)。2.
扁桃腺:瀰漫性壞死灶。 3.
淋巴結:可見凝固性壞死灶,壞死灶以細胞核之濃縮、破裂為主徵。 4.
肺臟:可見凝固性壞死灶及含纖維素性水腫液滲出,並可見化膿性支氣管性肺炎。 5.
肝臟:局部壞死灶,壞死區以細胞急性變性及細胞碎片兩種同時存在,並可見竇狀隙內有中性球及單核細胞浸潤。 6.
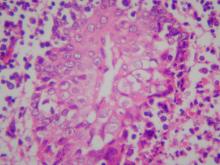
腎上腺:局部壞死灶,可見嗜酸性核內包涵體。 初生仔豬: 1.
扁桃腺:可見明顯之凝固性壞死灶,壞死灶以細胞核之濃縮、破裂為主徵,壞死區周
圍上皮細胞可見明顯之嗜酸性核內包涵體(圖3)。2.
淋巴結:可見明顯之凝固性壞死灶,壞死灶以細胞核之濃縮、破裂為主徵。 3.
肺臟:纖維素性壞死性肺炎,可見肺水腫及凝固性壞死灶,支氣管上皮細胞可見明顯
之嗜酸性核內包涵體(圖4)。四、 實驗室檢驗: 1.
細菌分離:分別將肝臟、腎臟、肺臟以無菌操作方式釣菌,並未分離到有意義之病原
菌。2.
螢光抗體染色:以假性狂犬病病毒之單源抗體作扁桃腺之間接螢光抗體染色(IFA)之結
果呈現陽性反應。3.
病毒分離:將扁桃腺、淋巴結、脾臟製成乳劑,接種於兔腎株化細胞(RK-13)之細胞株
,於37℃培養24小時後,可見明顯細胞病變效應(CPE),細胞經固定後作PR IFA呈陽性
反應。4.
豬瘟RT-PCR:陰性。 五、 診斷: 豬假性狂犬病(Pseudorabies in Pigs) 六、 討論: 1.
豬假性狂犬病自民國60年6月在屏東首次爆發以來,至今幾乎已傳遍台灣各地區的豬
場。根據民國82年的調查,一貫作業豬場與種豬場的PR盛行率高達 96﹪。而屠宰肉
豬的感染率在民國80年之調查也高達 65.5﹪。豬感染PRV (Pseudorabies virus)會造成
哺乳仔豬大量死亡、種豬精液品質下降或流、死產等繁殖障礙,中豬與大豬則發生肺
炎;另外,感染PRV的豬群較易併發其他細菌性或病毒性疾病。因此,感染場的生產
效率降低、成本增加,對整個產業造成極大的經濟損失。懷孕母豬感染PRV會經胎盤
感染胎兒而造成流死產,在懷孕末期感染會產下虛弱仔豬,若在接近分娩時受到感染
則會產下感染PRV的仔豬,本場兩頭母豬流產之疫情應與PR有相當之關係。2.
豬隻感染PRV之臨床症狀依動物的年齡、免疫狀態、病毒毒力和感染劑量而定。年齡
方面,以初生至四週齡最為嚴重,新生哺乳豬罹患率及死亡率可達100﹪,四週齡為
40~60﹪,一月齡到五月齡約15﹪,成豬感染則較少臨床症狀。 在四週齡離乳豬至五
月齡豬,自然感染後5~7天開始出現症狀,體溫上升至40.6~41.7℃,持續4~8天。食慾
不振、嘔吐、肌肉痙攣、抽搐及泳狀運動等神經症狀,之後虛脫死亡,病程約 4~8天
, 亦可能延長到10~14天。有些地區的肥育豬隻併發嚴重肺炎。本場這次發病的12週
齡肥前肉豬在發病前,因為發電機故障,造成水簾式豬舍內溫度上升、空氣不流通,
再加上11週齡移入新豬舍、施打口蹄疫疫苗的緊迫,使環境中的PRV伺機感染而發病
。雖然9月3日該場有新進豬隻,但血清抗體(gE ELISA)檢測結果呈陰性反應,故排除
本次發病為新進豬隻所引發之可能性。本次發病在臨床症狀方面,以呼吸症狀為主,少部分可見神經症狀,病程持續一個禮拜,而死亡率僅1﹪,比以往的疫情顯然輕微
許多。推測應與豬隻的自然抵抗力有關。因為該場肉豬沒有免疫假性狂犬病疫苗,由
母豬得到的移行抗體也早已減退,所以推測是由於該場之飼養管理良好,豬隻平日緊
迫因子少,抵抗力較佳,因而病程與以往不同。3.
PRV經由空氣及口傳染,病毒首先在鼻咽部、扁桃腺之上皮細胞內初步增殖,而後侵
入感染部位之淋巴組織,並迅速增殖。之後再藉由血液淋巴循環散播至其他部位或由
三叉神經、舌咽神經、及嗅神經散播至神經中樞。近來有報告指出,曾在PRV感染的
病例中發現胃腸道及腸肌神經叢(myenteric plexuse)的壞死。經過實驗證明,PRV可能
經由自主神經由腸道黏膜上皮散播至中樞神經系統。在抗體的存在下,PRV可躲入三
叉神經形成潛伏感染。在緊迫或宿主免疫力下降時,病毒便大量增殖而致病,並可從
口鼻分泌液中再次排毒,造成豬場污染及本病傳播之主要來源。4.
PRV之感染有抑制豬隻免疫力之情形。因為PRV會破壞淋巴結、扁桃腺等淋巴組織,
且PRV可以感染肺泡巨噬細胞,使其表面SLA I、macrophages specific molecule 二分子
的表現量減少,及降低肺泡巨噬細胞對細菌之吞噬及殺菌能力,而影響肺臟正常防禦
機制。故在PRV感染的豬場,常可見二次性細菌感染。本來單純的 PRV在呼吸道大部
分僅造成上呼吸道症狀,二次性細菌感染常會引起更嚴重的肺炎。若PRV感染肉豬、
成豬,常因症狀輕微及病程短,而被誤診為流行性感冒。因此去年本場肉豬舍所發生
疑似類流行性感冒病例,即被強烈懷疑為假性狂犬病在肉豬造成的感染所致。七、 參考文獻: 1.
楊平政、蔡慶裕、宋華聰、蕭清開。併用缺gE疫苗與檢除陽性豬清除感染豬場假性狂
犬病。中華民國獸醫學會雜誌。22:323-330。1996。2.
楊平政。綜說:假性狂犬病的流行病學。中華民國獸醫學會雜誌。23:237-255。1997。 3.
Naita M, Imada T, Haritani M, Kobayashi M, Moriwaki M. Pathological changes in HPCD pigs with prednisolone induced recrudescence of pseudorabies virus. Japan J Comp Pathol 97: 309-317, 1987. 4.
Narita M, Kimura K, Tanimura N, Arai S, Uchimura A. Aujeszky's disease virus to the porcine central nervus system after intestinal inoculation. J Comp Pathol 118: 329-336, 1998. 編者註:
依據病歷報告及病理檢驗,初生仔豬有感染PRV病變,分娩全有三胎初生小豬
生病死亡,兩頭母豬流產。以上是否全部都是PRV感染以及初生仔豬之PR病變
係產前經胎盤感染或產後再感染均有待進一步探討澄清。

