泌乳牛口蹄疫2
- 英文名稱
- Foot and Mouth Disease in Diary Cows
- 作者
- 邱蘭皓; 廖勝嘉 ;李淑慧 ;鍾明華 ;黃義雄;李建裕;林士鈺
- 建立日期
- 96年01月18日
- 更新日期
- 96年01月18日
- 內容
一、 病歷: 本縣六腳鄉魚寮村一乳牛場,飼養牛隻131頭,成牛84頭,仔牛 47頭(1-3月齡20頭)。
畜主於89年1月21日發現泌乳牛產乳量輕微下降,22日時發現部份成年牛隻有15頭出現跛
行、流涎、食慾不振的情形,畜主即以優碘治療跛行牛隻,此時泌乳量已下降至平時的
六成,直至23日所有成年牛隻均出現臨床症狀,牛隻口腔疼痛,不斷流涎,反芻草料無
法咀嚼而吐出(圖1、2)。但直至目前為止仔牛均未有何臨床症狀出現,活力仍十分良好。 發病率約84 /131。 本場防疫情形:三安不活化疫苗( IBR、BVD、PI3 ) 牛流行熱不活化疫苗( BEF ) 未施打口蹄疫疫苗 二、 肉眼病變:
1.
口腔:上顎粘膜有潰瘍灶,舌頭肥厚感呈白厚樣,有部份牛隻舌頭表面有潰瘍灶(圖3、6)。 2.
乳房:部份牛隻乳頭有小水泡。乳房末端乳管出口周圍有水泡(圖5)。 3.
四肢:有跛行,蹄冠部輕微紅腫,蹄趾間有小水泡(圖4)。 4.
鼻鏡:有潰瘍灶。 5.
其他臟器無明顯可見病變。 三、 組織病變: 1.
舌頭:上皮細胞間有炎症細胞浸潤。 2.
乳頭:局部上皮細胞水腫變性、壞死脫落,滲出液聚集形成小水泡。 3.
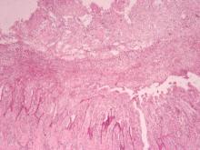
趾間上皮:上皮細胞水腫變性、壞死脫落,大量粉紅色滲出液聚集形成空腔(圖1),基
底層壞死上皮細胞間隙可見炎症細胞浸潤。4.
蹄冠上皮:小水泡匯集成大水泡,致表層細胞與基底層細胞剝離,形成明顯空腔,此
腔內含水泡液及壞死脫落之上皮細胞(圖8) 。四、 實驗室檢驗: 本病均由行政院農業委員會家畜衛生試驗所進行所有實驗室檢驗。 1.
病毒學檢驗 採集蹄部水泡液及咽喉液檢體以聚合鏈反應檢測口蹄疫病毒呈陽性。 2.
血清學檢驗 採集84頭牛隻血清檢測血清中和抗體力價,結果其抗體力價參差不齊( ≧724~≦3倍)
。五、 診斷: 泌乳牛口蹄疫( Foot and Mouth Disease in Diary Cows ) 六、 討論: 1. 本所繼1月19日雲林縣崙背鄉發生牛隻口蹄疫後,即密切注意本縣六腳鄉酪農專業區
乳牛口蹄疫疫苗注射情形,以特急件公文傳達必須全面加強口蹄疫疫苗的注射,酪農
們也均於新聞中得此訊息,但由於平時即未施打疫苗防範,六腳鄉乳牛場也於89 年1
月21日發生口蹄疫,本所依據「動物傳染病防治條例」規定,予以移動管制、撲殺及
補償。2.
全面加強口蹄疫疫苗的注射,本病只能謹慎、確實地預防注射,以避免本病的發生。
由於本病可經由接觸及空氣傳播,疫情的迅速通報與牧場的自衛防疫是最重要的防疫
觀念。感染牛場須依動物傳染病防治條例第十九條規定實施移動管制,其所生產之生
乳亦一併禁止運出牧場,並徹底進行環境消毒工作。撲殺牛隻以密閉車輛送往化製場
化製處理,牧場內之乾草、飼料、藥品、添加物均須焚燬避免疾病的傳播。3.
本場只有成牛呈現臨床症狀而仔牛活力均十分良好,其原因可能為其仔牛均以代奶粉
餵飼,未與母牛親近吸食乳汁,而無食入乳頭上水泡液故未見臨床症狀及死亡病例。
此一情形與89年3月間發生豬隻口蹄疫時哺乳豬突發死亡,保育豬活力良好之情形類
似。4.
針對本場口蹄疫疫情的發生其來源直至目前為止仍未有結果,據畜主稱並未自外購買
牛隻,再與雲林縣崙背鄉發生場做比較如收乳車、飼料車的往來也未有重複的情形,
故本場為何會發生口蹄疫而其附近酪農區十五場約二千五百多頭牛隻也未發現症狀,
必須再追蹤調查。七、 參考文獻: 1.
李淑慧等。臺灣豬隻口蹄疫病理圖譜。中華民國獸醫病理學會編印。1998。 2.
劉振軒、張文發、邱慧英。口蹄疫。甲類動物傳染病之簡介。臺灣養豬科學研究所編
印。1-9。1998。3.
牛口蹄疫集錦報導。雲林又爆口蹄疫134頭牛撲殺。中國畜牧雜誌。73-80。2000/3。


