山羊接觸傳染性膿皰症
- 英文名稱
- Contagious Ecthyma in Goats
- 作者
- 崔國君;蔡政達; 蕭淑寶;黃國榮; 郭舒亭;
- 建立日期
- 96年01月18日
- 更新日期
- 96年01月18日
- 內容
一、 病歷: 本病例發生於本縣中和市某羊隻繁殖場,全場共有羊375隻。據畜主表示該場有8隻
約10餘日齡小羊唇及舌部出現多發性增生性腫塊並伴隨膿瘍灶。病羊無法進食,其中4
隻 小羊陸續死亡,畜主將一頭病羊送至本所檢驗。二、 肉眼病變:
仔羊消瘦,除此之外主要肉眼可見明顯病變集中於唇及舌部(圖1)。可見多發性增生
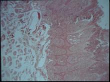
性腫塊病變伴隨膿瘍灶,並形成痂皮。其他內臟無明顯肉眼病變。三、 組織病變: 口唇部皮膚可見表皮棘細胞層增生(圖2)、水腫變性、氣球樣變性;部份表皮細胞角
化過度;表皮層與真皮層之間有紅血球浸潤;表皮層有炎症反應及多數炎症細胞浸潤;
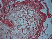
細胞質內可見疑似嗜酸性質內包涵體(圖3)。四、 實驗室檢驗: 1.
微生物分離:腦、肝、腎、脾、肺臟未分離到細菌。 2.
電子顯微鏡檢驗:採下唇組織,製成乳劑行負染色,於穿透式電子顯微鏡下,可檢出
Parapox virus病毒顆粒(圖4)。五、 診斷: 山羊接觸傳染性膿皰症(Contagious Ecthyma in Goats) 六、 討論: 1.
本病名稱有Contagious Ecthyma、Scabby Mouth、Sourmouth、Contagious Pustular
Dermatitis、ORF等,是由parapox virus引起之病毒性疾病,會引起羊隻皮膚發生膿皰之
症狀,感染途徑常由接觸病羊或注射活毒疫苗引起。2.
本病為人畜共通傳染病。人的感染通常是接觸到被污染的動物製品如羊毛、肉品或病
羊、活毒疫苗。感染後常在手指、手掌、手臂上出現約直徑3公分的丘疹,臉部的感
染也曾有報告。症狀於4~6週後消除。3.
本病可能在仔羊口腔發生潮紅、潰瘍至壞死、糜爛等現象;其他少毛處(如眼皮、耳
內、尾根內面、乳房)及食道與瘤胃出現膿皰樣病變。故需與羊痘、藍舌病、口蹄疫
及小反芻獸疫等疾病區別。4.
打疫苗是預防本病最好的方法。疫苗施打後約2週產生抗體,抗體有效至少6個月。在
國外常用注射疫苗來預防,但國內目前尚無疫苗之施打。

