牛副結核感染症
- 英文名稱
- Bovine Paratuberculosis
- 作者
- 高淑娟 ;呂完教 ;曾昭南 ;賴光明
- 建立日期
- 96年01月18日
- 更新日期
- 96年01月18日
- 內容
一、 病歷: 本縣某一乳牛場飼有荷蘭種乳牛大小共184頭,其中泌乳牛有138頭,乾乳牛20頭,
其餘26頭為新女牛,據畜主描述最近一、兩個月中已經有幾頭泌乳牛及乾乳牛臨床上呈
現下痢、食慾減退的情形。畜主曾自行給予Penicillin、Cephazolin、Chloramphenicol +
Tylosin+Prednisolone (中國化學製藥出品泰樂松R) 治療,有些牛情況略有改善,有些則無
任何改善而逐漸削瘦,前後共計淘汰了6頭牛隻,畜主為瞭解病因,請本所人員前往屠宰
場追蹤淘汰牛隻並採樣檢驗。二、 肉眼病變:
1.
牛隻外觀削瘦、拱背、眼窩凹陷(圖1)。 2.
肝臟輕度腫大,有一處0.5×0.5公分大小的白色壞死斑。 3.
肺臟潮紅,小葉間隔明顯。 4.
皺胃瀰漫性點狀出血,小腸後段腸壁肥厚,粘膜層呈現多皺褶而呈洗衣板樣(圖2A)。 5.
盲腸粘膜可見多發粟狀結節。 6.
腸繫膜淋巴結腫大,淋巴液增加(圖2B)。 三、 組織病變: 1.
肝臟:肝細胞局部壞死,纖維化變性。 2.
肺臟:肺泡間隔明顯,有輕度水腫及氣腫變性。 3.
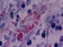
迴腸:黏膜層可見大量上皮樣細胞,巨噬細胞及嗜酸性球、中性球浸潤於絨毛之間質組織間(圖3A),淋巴管擴張可見大量多核巨細胞出現(圖3B),黏膜下層輕度水腫。經抗酸性染色於黏膜層可見到大量紫紅色短桿菌聚集成堆於細胞間及細胞質內(圖4)。 4.
淋巴結水腫,不見壞死灶,以類上皮細胞取代淋巴細胞,並可見到多核巨細胞增加。 四、 實驗室檢驗: 1.
淋巴結切面、腸黏膜按捺壓片以抗酸性染色均可見大量紅色短桿菌。 2.
取肝臟、脾臟、肺臟、淋巴結無菌操作釣菌接種於MacConkey & Blood Agar上,於37℃下培養24~48小時後觀察,並無細菌發育。另接種於小川培養基上,於37℃下經14天培養未見有意義菌落生長。 3.
血液學檢查:白血球數明顯增加,血液抹片可見嗜酸性球及中性球有增多情形。 4.
血清學檢查:針對該牧場83頭三歲以上牛隻進行副結核病血清學(ELISA)檢測,結果有
6頭呈陽性反應。剖檢牛隻之副結核病血清學(ELISA)檢測也明顯呈陽性反應。五、 診斷: 牛副結核感染症(Bovine Paratuberculosis) 六、 討論: 牛隻副結核感染症於臨床上並不受畜主重視,但因筆者曾於民國82至84年間對東部某一乳牛場作監控檢測時,於82年在該場檢出一頭,83年檢出7頭,84年則多達 22頭,因沒有較好的防治模式,畜主接受監測的意願也不高,臨床上只要發生長期下痢的情況沒有改善時,畜主多以抗生素控制。目前對本病的防治在臨床上建議畜主每年定期接受清學檢測,陽性牛隻若有臨床病徵出現時則立即淘汰,牛舍則儘量保持乾燥,加強消
毒,運動場定期使用生石灰灑佈。七、 參考文獻: 1.
吳永惠。牛病學。藝軒圖書出版社。台北。164~168。1989。 2.
朱瑞民、李崇道。消化道病理學。台灣養豬科學研究所、美國佛羅里達大學獸醫學院
。65。1993。3.
李淑慧、呂榮修、廖永剛。組織病理研討會專輯。83年度。中華民國獸醫病理學會。
34~36。4.
呂榮修等。以酵素結合免疫吸附調查台灣牛副結核病抗體。中華民國獸醫學會雜誌。
13:11~15。1987。5.
Jones TC, Hunt RD, King NW. Veterinary Pathology, 6th ed. Williams & Wilkins, Pennsylvania,
USA. 499~500, 1997.

