山羊沙門氏桿菌感染症
- 英文名稱
- Salmonellosis in Suckling Goats
- 作者
- 高淑娟 ;呂完教; 曾昭南 ;賴光明
- 建立日期
- 96年01月18日
- 更新日期
- 96年01月18日
- 內容
一、 病歷: 本縣某一乳肉用羊場於日前分娩一批仔羊,在小羊10日齡左右即發現有2隻仔羊出現
精神沈鬱、食慾不振及排軟便等情形,畜主自行以中國化學製藥的福痢散R泡於奶粉中餵
食,第二天發病小羊情況並沒有改善,且有多隻發生下痢,畜主仍以福痢散加於代奶中
餵食,小羊食慾更差,大多數不願攝食,第三天即發現小羊死亡1頭,其餘下痢小羊有些
已經開始排水樣便,並且有體溫上升、軟腳等情形發生,畜主立即將代奶粉減量,並將
病死羊及虛弱小羊送檢。二、 肉眼病變:
1.
小羊外觀精神沈鬱、拱背、肛門處黏著糞便(圖1)。 2.
剖檢見第四胃無內容物且充滿氣體(圖2)。 3.
小腸局部出血,整個腸道都充滿氣體(圖3)。 4.
肺臟潮紅。 5.
肝臟呈暗紅色。 6.
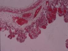
腸繫膜淋巴結輕度腫大。 三、 組織病變: 1.
腸黏膜壞死、出血,黏膜下層水腫(圖4)。 2.
肝臟竇間隙充出血,並有局部壞死灶。 3.
肺臟有廣泛性的充出血及炎症反應。 四、 實驗室檢驗: 1.
取肝臟、脾臟、肺臟、膽囊、腸間淋巴以無菌操作釣菌接種於MacConkey & Blood
Agar上,於37℃下培養24小時後觀察,於MacConkey & Blood Agar均有菌落發育,分
離出的細菌經純化後以API生化鑑定系統鑑定結果為Salmonella anatum。2.
取分離出的細菌以2×108的菌液2 ml加於代乳中餵給20日齡小羊食用,小羊於18小時後
即發生體溫上升及厭食,並於30小時後開始排軟便,32小時後糞便呈水樣。五、 診斷: 山羊沙門氏桿菌感染症(Salmonellosis in Suckling Goats)。 六、 參考文獻: 1.
屏東縣家畜疾病防治所。山羊疾病防疫輔導手冊。173~175。1997。 2.
吳永惠。牛病學。藝軒圖書出版社。160~163。1989。 3.
Smith MC, Sherman DM. Goat Medicine. Lea & Febiger. 302~305, 1994. 4.
Quinn PJ, Carter ME, Carter GR. Clinical Veterinary Microbiology. Mosby-Year Book. 226~
234, 1994.

