土雞傳染性華氏囊病與麴菌混合感染症
- 英文名稱
- Infectious Bursal Disease and Aspergillosis in Native Chickens
- 建立日期
- 96年01月18日
- 更新日期
- 96年01月18日
- 內容
一、 病歷: 台南縣某土雞場,約飼養三萬羽一月齡土雞,其中一棟每日死亡30至40羽,臨床上呈
現沈鬱、共濟失調或無法站立(圖1),曾接種IBD、ND、Pox等疫苗,發病後曾投予
Amoxicillin治療,但效果不佳。二、 肉眼病變:
1.
心臟:心冠狀溝脂肪點狀出血。 2.
脾臟:大小不一。 3.
肺臟:表面潮紅及多發局部大小不一灰白結節(圖2)。 4.
腎臟:腫大、散發灰白色結節。 5.
華氏囊:粘膜面潮紅,有黃白色乾酪樣物蓄積。 6.
小腦:白質及灰質剖面呈現膠樣狀。 三、 組織病變: 1.
心臟:心冠狀溝脂肪出血、少量淋巴球及巨噬細胞浸潤。 2.
脾臟:白髓淋巴球流失。 3.
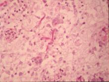
肺臟:某些三級支氣管腔有滲出液蓄積,實質組織有多發局部性肉芽腫與許多淋巴球
、巨噬細胞及巨大細胞浸潤(圖3),且肉芽腫及巨大細胞內可見許多分枝分節菌絲。4.
腎臟:局部性肉芽腫、巨噬細胞及巨大細胞浸潤,並有分枝分節菌絲分布。 5.
華氏囊:粘膜面呈現皺摺狀,淋巴濾泡髓質部淋巴球有壞死、空泡化現象及異嗜球浸
潤,粘膜上皮下及濾泡間有中等量淋巴球與巨噬細胞浸潤及結締組織增殖。6.
小腦:腦膜增厚且有巨噬細胞及巨大細胞浸潤,並有少量菌絲;另外,白質及灰質部
有腦軟化、出血、壞死性血管炎、格子細胞增殖及多量巨大細胞浸潤等病灶(圖4),且
於病灶區均可見分枝分節的菌絲。上述某些臟器病變區以PAS染色,於巨大細胞及肉芽腫病灶內可見紅色具分枝分節
的黴菌菌絲。四、 實驗室檢驗: 自病雞臟器(肺、肝、心)釣菌培養於Blood Agar以及MacConkey Agar上,經37℃ 24小
時觀察,並無細菌發育。五、 診斷: 土雞傳染性華氏囊病與麴菌混合感染症(Infectious Bursal Disease and Aspergillosis in Native
Chickens)六、 討論: 雞傳染性華氏囊病於1980年由呂及謝確認台灣有本病的發生,並且經由抗體調查發
現雞場已普遍受本病的污染[2],本病係由Birnavirus所引起的急性接觸性傳染病,以幼齡
雞隻的淋巴組織,尤其以華氏囊為主要侵害目標,但其他淋巴組織如脾臟、胸腺及盲腸
扁桃等亦會受侵害;通常3週齡以內的雞感染後會有免疫抑制(immunosuppression)的現象
發生[3],本病例經由組織病變發現脾臟、盲腸扁桃及華氏囊均有明顯淋巴球流失現象,
顯然有免疫抑制現象的發生,因此可能引發全身性麴菌感染,再者,根據養雞場送檢病
例發現,若雞隻曾罹患傳染性華氏囊病,會經常併發ND、CRD、E. coli等疾病發生,因
此加強預防傳染性華氏囊病的發生,為目前養雞業者在防疫上所不可忽視的問題。七、 參考文獻: 1.
Chaudhary SK, Sadana JR, Pruthi AK. Sequential pathological studies in apanese quail infected
experimentally with Aspergillus fumigatus. Mycopath 103:157-166, 1998.2.
Lu YS, Shieh HK. Infectious bursal disease in Taiwan. J Chin Soc Vet Sci 9:61-66,1983. 3.
Lukert PD, Saif YM. Infectious bursal disease. In: Calnek BW, ed. Disease of poultry, 9th ed. Iowa State University Press, Ames, USA, 648-663, 1991.

