鵝傳染性漿膜炎
- 英文名稱
- Infectious Serositis in Geese
- 作者
- 許國憲;官德明;吳建明;廖運國;劉紹勳
- 建立日期
- 96年01月18日
- 更新日期
- 96年01月18日
- 內容
一、 病歷: 桃園縣新屋鄉某養鵝場共飼養種鵝200隻,其中白羅曼種鵝50隻,仿土種鵝150隻,成年種鵝情況正常。自今年3月開始2-3週齡小鵝臨床上呈現厭食、沈鬱、流鼻水、眼結膜充血、白色下痢便、呼吸困難、背毛脫落、斜頭歪頸等症狀(圖1)。小鵝長大至5週齡後,病情才漸漸穩定,其發生率為120/600,致死率為50/120。 畜主曾經在孵出的小鵝注射0.6 ml鴨肝精,隔週每隻小鵝再注射0.8 ml,其為飼養業者自製之抗血清,小鵝發病期間曾投與抗生素治療,但其控制病情的效果不佳。 二、 肉眼病變:
1.
大腦:腦膜潮紅。 2.
氣管:粘膜潮紅及粘液分泌物增加。 3.
肺臟:潮紅及水腫,氣囊增厚、混濁有黃色乾酪樣之滲出物附著。 4.
心臟:心囊有一層白色偽膜覆蓋,心臟擴張及心尖鈍圓(圖2)。 5.
肝臟:漿膜有一層白色偽膜覆蓋(圖3)。 三、 組織病變: 1.
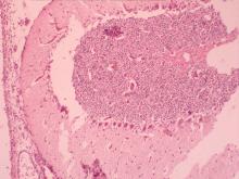
大、小腦:化膿性腦膜炎,腦膜可見許多單核球及異嗜球之浸潤(圖4)。 2.
心臟:心外膜可見纖維素滲出物及許多炎症細胞浸潤,以單核球及異嗜球為主。 3.
肝臟:漿膜面可見纖維素滲出物。 4.
肺臟:旁支氣管腔內充滿紅血球及粉紅色均質物。 5.
脾臟:局部壞死,壞死區淋巴球減少。 6.
氣管:粘膜上皮出血及壞死,可見纖維素滲出物及異嗜球之浸潤。 四、 實驗室檢驗: 1.
細菌學檢驗:將病鵝肺、肝、脾、腎、腦等臟器,以白金耳穿刺釣菌後,培養於Bloodagar上,在5-10% CO2 37℃環境下培養24-48小時,可分離出灰白色菌落,經Gram's stain後可見兩端濃染之陰性短桿菌,經生化鑑定本菌為Riemerella anatipestifer。 2.
病毒學檢驗:將病鵝送請行政院農業委員會家畜衛生試驗所培養分離病原,並未分離
出病毒。五、 診斷: 鵝傳染性漿膜炎 (Infectious Serositis in Geese) 六、 討論: 1.
桃園地區 3 月份左右之氣候溫度回升及早晚溫差劇變,此季節容易發生本病之病因可
能 與水禽類在高溫潮濕環境飼養下有利病菌之發育有關。2.
小鵝發生本病時須早期使用有效之抗生素治療,如小鵝延誤治療造成心囊炎、肝包炎
、氣囊炎而死亡,耐過鵝因生長遲緩而遭淘汰造成經濟損失。本場小鵝發病期間曾投
予抗生素治療,但其療效不佳,故研發有效之不活化菌苗來控制本病為可行之道。七、 參考文獻: 1.
許聰文等。鴨傳染性漿膜炎。八十五年度組織病理研討會專輯。81~82。 2.
李淑慧等。鴨傳染性漿膜炎。八十六年度組織病理研討會專輯。70~71。

