天鵝禽痘感染症
- 內容
一、 病歷: 禽痘常發生在鴿、雞、火雞、金絲雀鳥等,在水禽(鵝)亦有報告,但至今皆無有關
天鵝感染痘病毒之相關文獻報告,本縣某動物園野生而被馴養的二月齡小白天鵝卻發生此
症,故將其病例詳述如下:本縣學甲鎮某野生動物園在民國80年輸入黑、白天鵝數隻;黑天鵝在85年即繁殖並孵
育成功;白天鵝在88年3月份亦順利孵化9隻小白天鵝,其中有3隻二月齡之白天鵝臨床上
發生跛腳、開口呼吸、且在嘴上方及眼眶四周散發天鵝痘,其發病率3/9,死亡率3/3。本省因處亞熱帶,氣候高溫多濕易造成黴菌大量之生長,在雞、火雞、鴿、企鵝、鴕
鳥等均有麴菌感染症的報告;本病例小白天鵝發生天鵝痘外,亦混合感染嚴重的麴菌,再
再的證明麴菌是一種非常容易傳播的疾病,尤其對野生水禽為害性甚大。二、 肉眼病變:
1.
外觀:發病的白天鵝跛腳、食慾不振、嘴部上方及眼眶四週散發天鵝痘(圖1,2)。 2.
剖檢: (1) 肝:膽囊略為腫大。 (2) 全身氣囊及胸壁上散發許多白色乾酪樣結節。 (3) 肺臟:兩肺葉表面可見瀰漫性密發黃白色小結節,肺實質切面,亦可見多發白色壞
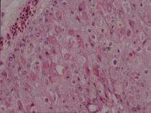
死灶。三、 組織病變: 1.
皮膚:皮膚上皮細胞呈增生及氣球樣變性,在腫脹之上皮細胞質內可見大小不一圓形
嗜酸性包涵體(圖3,4)。2.
肺:局部肉芽腫病灶,於病灶中心可見大量分枝分隔之麴菌菌絲體。 四、 實驗室檢驗: 1.
細菌培養:在重要實質臟器(肺、肝、膽囊等)未分離出有意義的細菌。 2.
黴菌培養: (1) 肺臟器壓片,以Lactophenol Cotton Blue染色可見麴菌菌絲。 (2) 在肺臟及氣囊、胸壁之白色壞死灶,以Blood Agar、TSA、Chocolate Agar及
Sabounraud Dextrose Agar經37℃,24小時培養,均可見白色絨毛狀黴菌菌落。3.
病毒分離:皮膚痘病變區做組織超薄切片,於穿透式電子顯微鏡下,可見大量呈啞鈴
形之痘病毒顆粒。五、 診斷: 天鵝禽痘感染症(Avian Pox in a Swan) 六、 討論: 1.
禽痘在家禽常見,在水禽類亦偶有報告,但在天鵝至今尚未有文獻提及,本病例發病天鵝為二月齡,其飼養環境中有多種其他水禽類包括:鴨、鵝、鴛鴦等,其痘病毒之感染源是否來自其他水禽類,頗值得探討。 2.
本病例之痘病毒對白天鵝而言,其傷害力應不至於死亡,因其繼發二次黴菌性肺炎(麴菌症),故其傷害較大者應為麴菌所致,但本文以報告禽痘為主。 3.
麴菌之孢子廣存於自然界中,推測本病例可能先感染痘病毒導致抵抗力降低後再繼發麴菌感染,故臨床上防禦本症應以環境之消毒、乾燥及提高抵抗力著手。

