犬圍肛腺瘤和睪丸間質細胞瘤
- 英文名稱
- Perianal Gland Adenoma and Interstitial Cell Tumor in a Dog
- 作者
- 張仕杰;賈敏原 ;劉正義
- 建立日期
- 96年01月18日
- 更新日期
- 96年01月18日
- 內容
一、 病歷: 患犬為一頭7歲、體重36.7公斤之雄性古代英國牧羊犬。該犬肛門右側於一年前出現一腫塊且有逐漸擴大現象。該犬曾在其他醫院被診斷為圍肛腺瘤後建議不予治療,畜主將其帶至本校獸醫教學醫院就診。患犬肛門右側有一懸垂腫塊,外觀為粉紅色且表面無毛髮,觸感柔軟且無疼痛反應(圖1)。肛門右內側另有一觸感堅實的小型團塊。區域淋巴結未發現有腫大現象。該犬飲食和排泄均正常。以外科手術切除治療,先實行睪丸摘除術,接著將肛門右側之腫塊切除。 二、 肉眼病變:
1.
肛門右側腫塊大小為3 ×2.5 ×2 ㎝,切面為淡褐色柔軟的均質組織(圖2A)。 2.
左側睪丸剖面可見一直徑為6㎜的黃橙色球狀團塊,呈柔軟均質樣且突出於表面(圖2B)。 三、 組織病變: 1.
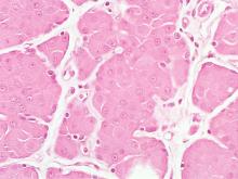
肛門右側團塊組織在低倍下可見一區一區的分葉狀類肝樣組織。高倍下可見多邊形細胞,細胞核為卵圓形或圓形且可見明顯的單一核仁,有豐富且呈粉紅色嗜酸性的細胞質。在分葉組織周圍可見圓形或立方樣的儲備細胞(reserve cells)排列,數量不多,且較呈嗜鹼性(圖3)。 2.
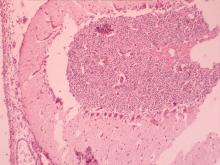
睪丸非腫瘤區域的造精小管內有造精細胞層數減少的現象,且可見巨細胞的出現。腫瘤區可見長橢圓形或多角形細胞,細胞核小呈卵圓形或圓形,且呈高染色性,少見細胞有絲分裂。細胞質內可見小空泡,另可見金黃色顆粒(圖4)。 四、 實驗室檢驗: 1.
血液學:Hb (19.2 gm/dL)、RBC (8.97 M/㎜3)、PCV(60.8 %)上升。 2.
血清生化學:ALT (70 U/L)、LDH (156 U/L)、CK (120 U/L)、ALP (55 U/L)、albumin
(4.02 g/dL)、A/G (1.42)、sodium (159 mmol/L)、chloride (125 mmol/L)上升,calcium (9.6
mg/dL)和phosphorus (2.1 mg/dL)些微下降。五、 診斷: 犬圍肛腺瘤和睪丸間質細胞瘤(Perianal Gland Adenoma and Interstitial Cell Tumor in a Dog) 六、 討論: 在肛門周圍有3種特殊腺體,分別為圍肛腺、泌離腺和皮脂腺。圍肛腺是一種發育不全的皮脂腺,不具有分泌功能,又稱為肛周腺(circumanal gland)和肝樣腺(hepatoid gland),主要分佈在臀部、腰部、尾部、後大腿、包皮和會陰等的皮膚[1, 3]。圍肛腺瘤在公犬的發生率約為母犬的九倍,此乃因為雄性荷爾蒙對該腫瘤有刺激作用,所以在公犬切除該腫瘤時,也會一併實施去勢手術[6];而雌性荷爾蒙對該腫瘤則有抑制作用,因此施行過OHE的母犬發生圍肛腺瘤的機率是未施行OHE母犬的3倍[3]。該腫瘤不論是良、惡性皆會造成毛髮脫落或潰瘍,但只有惡性腫瘤會侵入較深層組織,甚至造成區域淋巴結腫瘤[7]。圍肛腺瘤多發生於公犬且多為良性,術後復發率低;而母犬發生的圍肛腺多為惡性,切除後復發率非常高,存活時間少於一年,腫瘤生長和轉移速度快[3]。目前圍肛腺瘤多採用外科手術切除施行治療(公犬則同時施行去勢手術),若腫瘤區域太廣或已轉移時則可使用doxorubicin或cyclophosphamide進行化學療法。亦有使用estrogen來治療,但因會有抑制骨髓和前列腺鱗狀上皮細胞化生等副作用[7]。
睪丸腫瘤可分為三類,(1) sex cord-gonadostromal tumor,包括Sertoli cell tumor和Leydigcell tumor。(2) germ cell tumor,包括seminoma、gonadoblastoma、embryonic carcinoma和teratoma等。(3) other tumor,包括mesotholioma、fibro-blastic和vascular tumor[4, 5]。Leydig cell tumor又稱為間質細胞瘤(interstitial cell tumor),該腫瘤在狗較其他動物常見,可以是單
發或多發,或單側或雙側[2, 4, 5]。在犬最容易發生間質細胞瘤的品種為拳獅犬,其他品種發生率相差不大[5]。狗發生腫瘤的平均年齡為11歲[5],但本病例患犬只有7歲大,此一年齡發生睪丸間質細胞瘤算是年輕了一點,因為發生睪丸腫瘤除先天性因素(隱睪)外,多發生在10歲之後。有些間質細胞瘤具有分泌雄性荷爾蒙的功能,會增加該犬第二性徵表現,偶而會造成前列腺腫瘤、圍肛腺瘤和脫毛現象[2, 5]。由於本病例患犬同時有間質細胞瘤和圍肛腺瘤,間接顯示其間質細胞瘤可能是具有分泌性的腫瘤,使體內雄性素增加,促進圍肛腺瘤的生成。自然生成的圍肛腺瘤大多是發生在10歲齡之老犬。間質細胞瘤的直徑通常小於1㎝,其中有60 %小於1㎝,30 %為2至3 ㎝,多為圓形,切面為黃橙色,觸感柔軟且會有突起現象[5]。間質細胞瘤的組織病理學可分為3類:(1) solid diffuse type,腫瘤細胞呈現瀰漫性和單一型態,細胞間有基質交錯,腫瘤細胞在血管周圍排列成柵狀,細胞核在遠離血管的一端形成類玫瑰瓣(rosette like)結構。(2) pseudoadenomatous type,呈分葉狀,約20至30個腫瘤細胞聚集成一葉,小葉中心處有時會有空泡出現。(3) cystic-vascular type,由2至4個腫瘤細胞相連接,圍繞著一大型空腔,空腔內可能含有pinkproteinaceous fluid [4, 5]。本病例之腫瘤細胞呈多邊形或橢圓形,排列形態呈瀰漫狀。細胞核圓且小,染色質呈高染色質樣很少見有絲分裂相。細胞質含有空泡,空泡內含嗜酸性物質,有些細胞質中則含有金黃色的脂色素顆粒(lipochrome pigment)。間質細胞瘤通常為良性,很少發生轉移;若有則轉移至區域淋巴結和腹內臟器,有時會轉移至肺臟[5]。七、 參考文獻: 1.
Baker KP. The histology and histochemistry of the circumanal hepatoid glands of the dog. J
Small Anim Pract 8: 639-647, 1967.2.
Lipowitz AJ, Schwartz A, Wilson GP, Ebert JW. Testicular neoplasms and concomitant clinical
changes in the dog. J Am Vet Med Assoc 163: 1364-1368, 1973.3.
Stannard AA, Pulley LT. Tumors of skin and soft tissues. In: Moulton JE, ed. Tumors in
Domestic Animal. 3 rd. ed. University of California Press, Berkeley, USA. 70-72, 1990.4.
Nielsen SW, Lein DH. Tumors of the testis. Bull Wld Hlth Org 50: 71-78, 1974. 5.
Nielsen SW, Kennedy PC. Tumors of the genital systems. In: Moulton JE, ed.Tumors in
Domestic Animal. 3 rd. ed. University of California Press, Berkeley, USA, 478-488, 1990.6.
Wilson GP, Hayes HM. Castration for treatment of perianal gland neoplasms in the dog. J Am
Vet Med Assoc 174: 1301-1303, 1979.7.
Withrow SJ. Perianal tumors. In: Withrow SJ, MacEwen EG, ed. Small Animal Clinical
Oncology, 2nd ed. W. B. Saunders Company, Philadelphia, USA, 261-267, 1996.

