條紋鱸魚奴卡氏菌感染症
- 英文名稱
- Nocardia seriolae Infection in Morone saxatilis
- 作者
- 賴金鞠
- 建立日期
- 96年01月18日
- 更新日期
- 96年01月18日
- 內容
一、 病歷: 雲林某魚塭養殖條紋鱸魚2萬尾,養殖面積3分地,魚齡為6月齡,體長為25~30公分,體重為300~400克。據養殖業者描述,可見病魚浮游,攝食量降低及較不搶食等症狀,每日由數尾魚隻死亡增至數十尾。 二、 肉眼病變:
1.
體表尾部有充出血及灰白色膿樣病灶。 2.
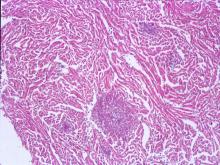
心、脾、腎、鰓等臟器有0.1~0.2公分直徑之灰白色結節密發。 三、 組織病變: 1.
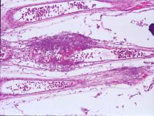
各臟器呈現多數大小不等之肉芽腫結節病變,即該病灶之肉芽腫中心有大量細菌及壞死組織及少量炎症細胞,並有明顯數層類上皮細胞包圍。 2.
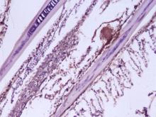
抗酸染色在肉芽腫周區有紅色念珠樣弱抗酸菌。 3.
免疫化學染色在肉芽腫病灶區呈現黃棕色陽性反應。 四、 實驗室檢驗: 1.
水質檢驗 採水時間:9:30 AM 水溫:28℃ 亞硝酸:0.6 mg/L 總 氨:0.6 mg/L pH值:7.9 鹽 度:0 %0 2.
寄生蟲檢查 鰓絲及體表黏液檢查:不見任何蟲體。 3.
細菌分離 以無菌操作法取自腹腔臟器之結節病灶接種於Brain Heart Infusion (BHI) Agar、Tryptic Soy Agar (TSA)、Lowenstein-Jensen (L-J) Slant。結果4天後,在BHI、TSA上出現白色皺摺隆起砂粒狀菌落,7天後在L-J上出現黃色凸起顆粒狀菌落。 4.
細菌鑑定 (1) 臟器抹片以Ziehl-Neelsen抗酸染色、可見呈現弱陽性反應念珠樣或分枝狀長桿菌。 (2) 萃取病原菌之染色體DNA,經16S rDNA定序後與Nocardia seriolae (accession No:Z36925 ,GenBank)相似度達99.7%。 5.
接種試驗 以2.2x106 CFU/ml菌液以腹腔接種15隻條紋鱸,實驗期間30天。發病魚隻在肝臟及腹腔脂肪組織發現結節樣病灶,並可重新分離本菌,實驗期間死亡率為73.33%。 五、 診斷: 條紋鱸魚奴卡氏菌(Nocardia seriolae Infection in Morone saxatilis)感染症 六、 討論: 1.
水產動物感染奴卡氏菌症(Nocardiosis)之報告有: N. asteroides主要感染霓虹燈魚、鱧魚、大嘴鱸魚,及N. seriolae感染日本青魽魚參 (1,2,3,5),在1998年大西洋牡蠣所分離之N. crassostreae (4)。1948年在美國華盛頓的bluebock salmon (Oncorhynchus nerka)仔魚
分離到Streptomyces salmonicida經16S rDNA定序後,於1999年正名為N. salmonicida,亦為魚類感染奴卡氏菌之病原。2000年報告中,澳洲的大西洋鮭魚臨床發現體表有2 mm直徑大小的肉芽腫,病原菌經生化鑑定為Nocardia sp.(6)。2.
1997年9月由雲林縣某淡水魚塭養殖之七星鱸感染奴卡氏菌症,現場累積死亡率達17.5%。將此菌株經生化性狀試驗及16S rDNA定序後,鑑定為N. seriolae,接著在1998年在條紋鱸(Morone saxatilis) 及大嘴鱸魚(Micropterus salmoides)發現Nocardia感染病例,經生化性狀試驗及16S rDNA定序後,鑑定其菌種為N. seriolae 。顯示雲林地區魚類感染奴卡氏菌之菌種,主要為N. seriolae。 3.
Rebelin and Miyaki 1975年所著魚病學報告革蘭氏陽性菌引起魚類慢性肉芽腫病變,包括棒狀桿菌(Corynebacterium sp.),分枝桿菌(Mycobacterium sp.) ,葡萄球菌(Staphylococcus sp.)及奴卡氏菌(Nocardia sp.)。利用Ziehl-Neelsen抗酸染色配合免疫化學染色,可作為鑑別診斷用。 4.
具有病原性的奴卡氏菌,可以從腐生的土壤和河岸的土地、流動的水、海洋環境分離到(6)。在現場病例中,本病的發生常在各種緊迫因子(如鰓部寄生蟲感染、撈捕等)發生之後,是否意味著緊迫因子之後,造成魚體免疫力下降,進而讓普遍存在於淡水及土壤中之Nocardia伺機感染而發生本病,值得進一步之研究。 七、 參考文獻: 1.
陳石柱、董明澄、蔡文城。台灣南部淡水魚塭之鱧魚Nocardia asteroides 感染症之研究。COA Fisheries Series No.15, Fish Dis Res(Ⅸ), 42-48, 1989. 2.
陳石柱、董明澄。台灣南部淡水魚塭之大嘴鱸魚奴卡氏菌感染症之研究。J Chinese Soc Vet Sci 17:15-22, 1991. 3.
Chen SC. Study on the pathogenicity of Nocardia asteroides to the Formosa snakehead, Channa
maculata(Lacepede),and largemouth bass,Micropterus salmoides (Lacepede). J Fish Dis 15: 47-
53, 1992.4.
Friedman CS, Hedrick RP. Pacific Oyster Nocardiosis: Isolation Bacterium and Induction of
Laboratory Infection. J Invertebrate Pathol 57: 109-120, 1991.5.
Hsu FS, Chu HM,Weng CH.An Enzootic of Nocardiosis in Fish.Reports on Fish Dis Res(Ⅰ)
JCRR Fisheries 29: 22-27 , 1977.6.
Brarsden MP, Carson J, Munday BL, Handlinger JH, Carter CG and Nowak BF. Nocardiosis in
tank-reared Atlantic salmon, Salmo salar L. J Fish Dis 23: 83-85, 2000.



