豬 黑 色 素 瘤
- 英文名稱
- Melanoma in Pig
- 作者
- 游志煌
- 建立日期
- 96年01月22日
- 更新日期
- 96年01月22日
- 內容
一 、
病 歷:
本病例來自宜蘭縣肉品市場,其病材經由本縣衛生局駐場獸醫師送檢,該病例屠前檢驗無臨床症狀,其豬隻外觀均正常,惟屠體內臟檢驗時發現脾臟有黑色腫塊,此種病變一般均判定為血囊腫(Hematoma)而判定廢棄,但經本所病理切片鏡檢,結果發現大量黑色素顆粒浸潤於該腫塊之組織間。
二 、
肉眼病變:
該脾臟的大小與同批屠宰之豬隻相等,惟實質都發現有大小不一的黑色突出腫塊,該腫塊與正常組織界線分明,突出面光滑成圓弧型結構,顏色暗黑與正常鮮紅色組織成強烈對比(圖 1, 2),腫塊橫切面黑色實質部之間夾雜著如同正常鮮紅的脾組織(圖3) 。

三 、
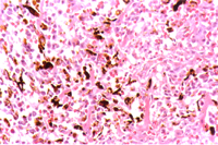
組織病變:
脾中心動脈內膜含有明顯黑色不規則之顆粒,在紅髓及白髓有大量外形多樣(梭形到橢圓形)之黑色腫瘤細胞(圖4),細胞核已被覆蓋或不具染色性。

四、
診 斷: 豬黑色素瘤(Melanoma in Pig) 五、
討論: 本病例脾臟黑色團塊在肉品市場屠體檢查相當常見,但常被判定為血囊腫、梗塞、壞死而割除廢棄,惟血囊腫之團塊較柔軟,而本病則硬實;而梗塞之病變呈三角型,如病程較久之病灶則成鐵銹色或灰白色萎縮或增生樣,與此不同;而壞死病灶常見化膿灶與此暗黑硬實亦不相同。有色豬如三品(LYD)、杜洛克、大黑豬等,於解剖時常於肺、 脾、口腔粘膜見黑色斑,但此斑不呈隆起應與黑色素瘤區別。