山羊關節炎腦炎 、化膿性關節炎與類澱粉沉著症
- 英文名稱
- Carpine Arthritis Encephalitis Purulent Arthritis and Amyloidosis
- 作者
- 黃億銘 宋明華 林正忠 李維誠
- 建立日期
- 96年01月22日
- 更新日期
- 96年01月22日
- 內容
一 、
病 歷 :
台中市某山羊場飼養乳羊210頭,畜主於86年2月25日時送1隻約1歲之母山羊到國立中興大學獸醫教學醫院解剖,該場山羊CAE的血清學抗體測定檢查陽性率約80%,據畜主表示,讓羊呈現消瘦,並於十多天前開始四肢無力,前肢腕關節輕微腫大,漸漸站不起來,最後倒地不起,淘汰送檢。
二、
肉眼病變: 病羊極度消瘦,全身多處關節,尤其是腕關節之周圍結締組織明顯增生(圖1)關節囊腔堆積膿樣物質。肺臟之右隔葉背側有深紅色斑塊,觸感呈輕度肉樣堅實,右肺尖葉有氣腫。脾臟腫大且硬實。腎臟輕微腫大。其他臟器並無明顯肉眼病變。

三、
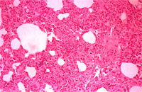
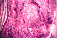
組織病變: 肺臟可見間質細胞明顯增生,間質部並可見粉紅色均質樣物之沉積,少量融合細胞(圖3),支氣管周圍則有淋巴球浸潤長淋巴小結增生,血管周圍有少量粉紅色物質沉澱。肝臟可見肝小葉間有粉紅色物質沉澱。脾臟馬氏小體周圍有大量粉紅色物質沉澱。關節滑膜結締組織增生,新血管生成,並有大量嗜中性球及單核球浸潤(圖2)。以剛果紅染色,上述肺、及脾之血管周圍有粉紅色物質,經剛果紅染色及偏光鏡檢查,判定為Amyloid物質(圖4)。


四 、
細菌分離 : 由前肢腕關節液釣菌,接種於Blood Agar上,結果無任何菌落生長。 五 、
血清學檢查 : 以Trop-Bio CAE ELISA Kit檢測病羊血清呈陽性反應。 六 、
診 斷 : 山羊關節炎腦炎、化膿性關節炎與類澱粉沉著症
(Carpine Arthritis Encephalitis Purulent Arthritis and Amyloidosis)七、
討論及參考文獻 : (一) 討 論: 本病例之關節囊液較黃、黏稠,於是由前關節囊液釣菌接種於Blood Agar上,結果無任何菌落生長。可能造成山羊多發性關節炎的細菌有Chlamydial pecorum、Corynebacterium pseudotuberculosis、Mycoplasma mycoides subsp. Mycoides及M.capricolum。Chlamydial pecorum感染率高,致死率3~7%,但主要發生在3~8週齡小羊,呈稽留型發熱,關節之滑膜細胞及單核球之細胞質以特殊染色可見大量披衣菌基體,造成多發性關節炎、結膜炎、腦脊髓炎及腸炎。Corynebacterium pseudotuberculosis偶而造成小羊的關節炎,主要為乾酪樣淋巴腺炎。Mycoplasma capricolum是山羊關節炎常見的病因,並造成全身性感染,而引發肺炎、乳房炎、關節炎,感染率10~30%,致死率達100%。早期病變呈現滑膜壞死,關節表面有纖維素附著,滑膜下組織鬱血、水腫,壞死組織及關節表面有嗜中性球浸潤。山羊關節炎腦炎(CAE)由Lentivirus引起。仔羊感染CAEV約10~15%會發展出神經型病灶,腦部病變主要分布在腦幹、室管膜下、腦室周邊及軟膜下。成羊感染CAEV之羊隻呈關節炎病變者,常於關節處可見滑膜細胞局部壞死,關節周圍結締組織大量增生及絨毛樣乳突形成。鏡下可見大量單核組胞浸潤於血管周圍及形成淋巴濾泡樣病變。 (二) 參考文獻: 1.
韓佳洲。台灣地區山羊關節炎腦炎:血清學調查、病毒分離及人工感染後之免疫反應。碩士論文。中興大學獸醫研究所。台中。中華民國。1996。 2.
宋明華。台灣地區山羊關節炎腦炎血清學監控、預防和控制。碩士論文。中興大學獸醫研究所。台中。中華民國。1997。 3. 田保平、張力沃、李建國、后永昆、徐世山、徐永清、楊學昌、李應民。山羊關節炎一腦炎病毒性綜合症的研究概況。中國獸醫科技。26:44-46。1996。 4. 屏東縣家畜疾病防治所。山羊疾病防疫輔導手冊。 5. Adams, D. S., T. B. Crawford, and P. Klevjer-Anderson. the connective tissue component of the caprine arthritis-encephalitis syndrome. Am. J. Pathol. 99 : 257-278. 1980. 6. Archambault, D., N. East, K. Perk, and J. E. Dahiberg. Development of an enzyme-linked immunosorbent assay for caprine arthritis-encephalitis virus. J. Clin. Microbiol. 26 : 971-975. 1988. 7. Al-Ani F. K., J. G. E. Vestweber. Caprine arthritis-encephalitis syndrome (CAE) : A review. Vet. Res. Commun. 8 (4) : 243-253. 1984. 8. Stone, M. J. Amyloidosis : A final common pathway for protein deposition in tissues. Blood 73 : 531. 1990.