大鼠假性結核病 (棒狀桿菌症 )
- 英文名稱
- Murine Pseudotuberculosis(Corynebacteriosis)
- 作者
- 梁鍾鼎 劉振軒 王綉真 黃坤正
- 建立日期
- 96年01月23日
- 更新日期
- 96年01月23日
- 內容
、
病 歷 :
送檢病例,SD公鼠,1歲,臨床上呈現消瘦、精神沈鬱、呼吸困難、運動失調、弓背姿及皮毛粗剛等症狀。 二 、
肉眼病變: 肺臟呈紅白相間實質化肝變(圖 1),切面下呈液化或乾酪樣壞死及充血;胸膜表面有纖維素性物質附著;下顎淋巴結腫大,切面呈中央壞死。 
三 、
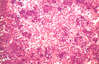
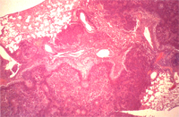
組織病變: 肺臟超過 30%以上呈不規則狀多發或癒合之凝固至液化壞死區域,內有許多嗜中性球與細菌菌落,周圍以巨噬細胞、淋巴球及結締組織增生為主。其它病變可見肺泡水腫;小葉間隔增厚,有巨噬細胞、纖維母細胞及嗜中性球浸潤,小支氣管內可見黏液及嗜中性球;圍小支氣管及圍血管淋巴球及漿細胞增生;胸膜增厚,纖維素黏連,間皮細胞肥大及少量巨噬細胞(圖2, 3)。淋巴結壞死,大量嗜中性球浸潤。其它器官如肝、腎、脾正常。

四 、
診 斷 : 大鼠假性結核病(棒狀桿菌症) Murine Pseudotuberculosis(Corynebacteriosis) 五 、
鑑別診斷 : 1.
鼠黴漿菌症(Mycoplasma pulmonis) : 鼠棒狀桿菌常繼發黴漿菌症,造成混合感染。 2.
鏈球菌肺炎: 較短之臨床病程,約 48小時內發病,可見纖維素性化膿性之胸膜肺炎及革蘭氏陽性之雙球菌。 六 、
討論及參考文獻 : (一)討 論:
棒狀桿菌(Corynebacterium kutscheri)感染症在文獻中以肉芽腫病變為主,但組織病變下常見大區域的壞死,肉芽腫病變有時並不明顯,故又名假性結核病。
棒狀桿菌是一種多形性桿菌,可呈垂直或略彎曲短棍棒狀或長纖維狀。接近細胞分裂完成時期,細菌會有一種咬合(snapping)的運動現象,桿菌彼此間黏連,呈柵狀,此一特徵現象又稱為"Chinese letters"(圖4)。棒狀桿菌為一革蘭(+)類白喉菌,此菌通常感染大小鼠,造成不顯性感染,低發病率及死亡率。但併發緊迫、類固醇治療、放射線、營養缺陷(泛酸,維生素)、鼠痘病毒(ectromelia)、沙門氏桿菌、黴漿菌或克氏菌感染則會有高發病率及死亡率。
牛型棒狀桿菌(Corynebacterium bovis)感染無胸腺裸鼠,造成角質增生性皮炎,則是很特殊的一種病變。
棒狀桿菌感染病程約 1~7日,涉及器官如肺臟、下顎淋巴結、肝、腎、內耳、包皮腺(preputial gland)、關節、皮下出現膿瘍至壞死性肉芽腫病變。棒狀桿菌血清型 A,為非致病性,常在於上述器官形成不顯性感染,但當緊迫等因子併發,形成 K型致病性血清型,循血行至各器官,所以肺臟的病變是以間質性、肺泡及間隔之血管的病變為主,小支氣管病變輕微。同時可見壞死性腎絲球體炎,腦血管梗塞,結腸壞死。
肺、肝、腎是一般認為三大保菌器官,但亦有報告,此菌平時隱藏於結腸腺窩,當遇緊迫等狀況時,細菌大量增殖循腸繫膜及門靜脈上行散佈,造成各器官栓子性壞死性肉芽腫病變。二)參考文獻:
1.
Ackerman JI, et al. An enzyme linked immunosorbent assay for detection of antibodies to Corynebacterium kutscheri in experimentally infected rats. Lab Anim Sci 34(1):38-43, 1984. 2.
Ford TM, et al. Pneumonia in a rat associated with Corynebacterium pseudotuberculosis-a case report and literature survey. Lab Anim Care 18(2): 220-223, 1968. 3.
Scanziani E, et al. Outbreaks of hyperkeratotic dermatitis of athymic nude mice in northern Italy. Lab Anim 31:206-211, 1997.