山羊口蹄疫
- 英文名稱
- Foot and Mouth Disease in Goats
- 作者
- 李淑慧;張國慧;鍾明華;黃天祥;張韻萍;林國忠;林士鈺
- 建立日期
- 96年01月18日
- 更新日期
- 96年01月18日
- 內容
一、 病歷: 高雄縣某一乳肉羊場於89年2月19日出現全場羊隻退料、不食、泌乳降低、發燒、下
痢、跛行、仔羊暴斃,至2月24日止共死亡38頭。二、 肉眼病變:
(一)
成羊 1. 下嘴唇有淺層糜爛灶。 2. 乳房炎,乳房淋巴腫大,周邊出血。 3. 乳頭有水泡之結痂疤痕。 4. 腸壁菲薄,內含黃色水樣下痢便,腸間淋巴腫大。 (二)
仔羊(10~25日齡) 1. 口腔黏膜面及齒齦可見淺層糜爛潰瘍灶 (圖1)。 2. 肛門周圍污濁。 3. 舌頭中段黏膜面有淺層紅色糜爛灶 (圖2)。 4. 心耳有白色壞死灶,心肌表面有白色垂直條紋(虎斑心),心肌蒼白褪色 (圖3)。 5. 腸壁菲薄,內含黃色水樣下痢便,腸間淋巴腫大。 三、 組織病變: 1.
口腔及齒齦:黏膜層可見壞死上皮細胞及炎症細胞浸潤。 2.
舌頭:上皮細胞壞死,形成淺層之糜爛潰瘍灶。 3.
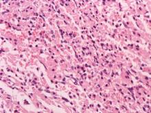
心肌:切片下心肌細胞呈岑克氏壞死,局部心肌細胞橫紋消失、肌細胞質顆粒化及肌
細胞核濃縮及破裂等變化(圖4)。肌細胞間並可見大量炎症細胞浸潤。4.
乳頭:上皮組織之基底層周圍呈大區域壞死及炎症細胞浸潤。 四、 實驗室檢驗: 1.
病毒分離:咽喉液、乳汁及臟器皆可分離到口蹄疫病毒。 2.
反轉錄聚合
鏈反應:咽喉液、乳汁及臟器皆有陽性結果。3.
非結構性蛋白抗體檢測:陽性。 五、 診斷: 山羊口蹄疫 (Foot and Mouth Disease in Goats) 六、 討論: 臺灣在今年1月中旬陸續於雲林縣、嘉義縣發現牛隻感染口蹄疫(O/TWN/99)之後,在
2月中旬又分別從彰化縣及高雄縣的羊場中發現口蹄疫的蹤跡,在發病羊場中都突然出現
仔羊暴斃的情形,因而引起重視,經過實驗室檢驗證實這些病毒和先前感染牛隻的O /
TWN/99相同。人工感染試驗研究發現,此株病毒除了牛、羊之外也會感染豬,而且對豬
的毒力並不比O/TWN/97差,此種同時會感染豬、牛、羊之特性與O/TWN/97只會感染豬的
情形大不相同[1,2]。依據文獻指出,口蹄疫對於羊隻大多只是不顯性的感染,尤其是O型的口蹄疫病毒,
不像牛或豬在感染後會有較高的發生率與死亡率,羊口蹄疫的重要性在於與牛隻混養的
情形之下,羊隻往往成為感染牛隻病毒的來源,也就是扮演病毒傳播者的角色[3]。國外
的報告曾發現人工感染羊隻後,全數羊隻皆無臨床病變,其中有87%的羊在接種後28天
仍可從咽喉分離到病毒,此情形與本所的試驗結果相似,人工接種病毒的羊隻未出現任
何可見的臨床症狀或病變,但至人工感染後27天仍可從糞便與咽喉分離到病毒[1]。本病例與哺乳豬感染口蹄疫後發生暴斃的情形相同,也是因為母羊在感染後自乳汁
排出大量的病毒,仔羊在吸吮含有大量病毒的乳汁後,因大量病毒侵犯仔羊心肌,而同
樣造成虎斑心的病變。七、 參考文獻: 1.
李淑慧等。口蹄疫病毒FMD O Taiwan 99病毒株對SPF豬、乳牛、黃牛、山羊等動物之
病原性研究。中華獸醫誌。25增刊: 18。1999。2.
Sharma SK. Foot and mouth disease in sheep and goats. Vet Res J 4: 1-21, 1981. 3.
Huang CC, Jong MH, Lin SY. Characteristics of foot and mouth disease virus in Taiwan. Vet
Med Sci 62(7): 677-9, 2000.

