土雞(食用鬥雞)壞疽性皮炎
- 英文名稱
- Gangrenous Dermatitis in a Fightingcock
- 作者
- 高淑娟; 呂完教 ;曾昭南 ;賴光明
- 建立日期
- 96年01月18日
- 更新日期
- 96年01月18日
- 內容
一、 病歷: 本縣某一放山系列食用鬥雞場共飼有4,900隻11週齡大小的食用鬥雞,據畜主表示於10天前即發現雞隻零星死亡,每日死亡由1~2隻逐漸增多至每日死亡10~20隻,臨床上這些雞隻背部均有被啄毛的現象,發病雞隻多數都是突然死亡,少數病雞可見蹲在角落不願走動。畜主曾於飼料中添加礦物鋅、甲硫氨酸,飲水中並投予免疫寶R、病毒阻斷劑R、Doxycycline、Amoxicillin等藥物,均不見改善。 二、 肉眼病變:
1.
病雞背部脫毛(圖1),皮膚較潮紅,且有一股屍臭味。 2.
皮下有大量炎症滲出液(圖2)。 3.
胸肌與腿肌局部較蒼白,並可見到有些小氣泡於肌束間。 4.
腎臟輕度腫大。 三、 組織病變: 1.
腎小管腫大變性。 2.
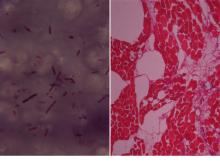
皮下組織與肌肉間可見明顯水腫,肌纖維腫大變性,肌纖維間可見局限性氣腫(圖3B)及大量的長桿菌(圖4A),但皆無炎症反應。 四、 實驗室檢驗: 1.
以皮下滲出液直接作成抹片經Gram染色,顯微鏡下可見大量Gram陽性大型桿菌,將滲出液遠心4,000 rpm 30分鐘後,取沈澱物加蒸餾水一滴置於載玻片上,火焰固定後以芽胞染色,可見到芽胞呈卵圓形位於菌體中央且比菌體寬(圖3A)。 2.
取皮下滲出液經0.45 μm 針頭過濾器過濾後,注射於小白鼠腹腔內,每隻0.2 ml,結果5小時內小白鼠死亡。 3.
以無菌操作方式剪下胸肌或腿肌,以沾黏方式於厭氧BAP上沾黏後以Loop塗開,於37℃下行厭氧培養,經36小時可見到乳白色菌落,以Rapid ANA-II生化系統鑑定為Clostridiumsordellii。 五、 診斷: 土雞(食用鬥雞)壞疽性皮炎(Gangrenous Dermatitis in a Fightingcock) 六、 討論: 梭菌分佈在土壤、糞便、灰塵、污染的禽舍或飼料及腸內容物中,而雞隻感染可引起壞死性腸炎及壞疽性皮炎,有報告指出壞疽性皮炎與傳染性華氏囊炎的後遺症有關,在剖檢病例中曾將華氏囊做切片,有些病雞華氏囊確實可見到局部萎縮壞死的病徵。在台東地區每年均會有多場發生壞死性皮炎的病例,發病的雞齡都在10週齡以上,過去筆者因懷疑壞疽性皮炎是雞隻互啄而感染病原菌所導致,但在走訪多場以後發現多數放山系列的雞隻若過於密飼,均有互啄的情形,但不見得互啄的雞隻就會發生壞死性皮炎,而曾得過傳染性華氏囊炎的雞場,雞隻恢後並沒有壞疽性皮炎的病例。台灣地區三種放山雞品系中唯見食用鬥雞發生壞疽性皮炎,其它兩種品系(紅仿、人家土)並未接獲有壞疽性皮炎的病例,這是有待進一步探討之處。 七、 參考文獻: 1.
呂榮修。禽病診斷彩色圖譜。中華民國養雞協會出版。台北。253~254。1995。 2.
林茂勇、宋華聰。禽病診治。藝軒圖書出版社。160~161。1988。 3.
Ficken MD and Wages DP. In: Calnek BW, ed. Disease of Poultry, 10th ed. USA. 265~267, 1997

