馬炭疽
- 建立日期
- 96年01月18日
- 更新日期
- 96年01月18日
- 內容
一、 病歷: 台北市某騎馬俱樂部,一匹十歲競速用熱帶純種馬(Thoroughbred),俗名為黑玫瑰,88.11.23淩晨5點多,突然死亡,畜主以為是毒蛇咬傷致死,於當日中午1:00送至本所剖檢。 二、 肉眼病變:
1.
外觀:四肢、頭部、體軀及肛門、腹部等皮膚皆無任何外傷。 2.
鼻部:浮腫、左側眼瞼腫脹、鼻腔潮紅,流出暗褐色血水(圖1)。 3.
血液:不凝固,呈暗黑色(圖2)。 4.
鼻粘膜:潮紅、出血、壞死。 5.
頭部鼻骨處:皮下組織嚴重出血、水腫,可見黃褐色漿液性滲出液蓄積(圖3)。 6
脾臟:腫大,內含大量未凝固血液,切面似草莓果醬狀。脾小結突起明顯。 7.
氣管:粘膜潮紅、漿膜面水腫、氣管腔內佈滿帶血泡沫狀液體(圖4)。 8.
肺:兩側肺葉濕重潮紅,切面含大量未凝固血液呈暗黑色,膈葉肋膜面有白色纖維
素物附著(圖5)。9.
肝:鬆軟呈巧克力色。 10.
胰臟:嚴重出血、壞死,大量黃褐色膠狀物蓄積。 11.
心臟:右心擴張、心冠狀溝脂肪點狀出血,脂肪呈漿液性萎縮,心內膜出血,心肌
呈褐色。12.
左側肩胛肌肉:嚴重出血,有黃褐色膠樣物蓄積。 13.
輕度黃疸。 14.
腸繫膜:水腫,脂肪呈輕度漿液性萎縮。 15.
腸間淋巴:水腫,可見黃色纖維素性膠樣物蓄積。 16.
膀胱:粘膜潮紅。 三、 組織病變: 1.
脾臟:大量紅血球蓄積無法辨識淋巴濾泡,僅殘存脾小樑、脾動脈及少數淋巴球聚集成團,在大區域出血區可見一對呈竹節樣排列之齊頭桿菌,但皆無明顯之炎症反應(圖6)。 2.
肺:全面出血、水腫、支氣管上皮細胞部份剝落呈圓形化,可見血栓及血管內凝血,但皆無明顯之炎症反應。 3.
腎:自皮質至髓質部皆嚴重出血及廣泛性血管內凝血,多數腎小管腔內可見均質狀血紅色圓柱,在腎間質可見齊頭桿菌呈對狀排列,但皆無明顯之炎症反應。 4.
腸漿膜面水腫,可見粉紅色纖維素滲出液及以漿細胞為主之炎症細胞。 5.
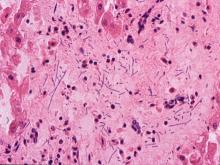
肝:肝竇狀隙擴張內充滿紅血球、肝索排列凌亂,近門脈區之肝細胞呈空泡化,可見少數短桿菌浸潤於竇狀隙中,門脈區之肝組織及血管內則可見大量細菌浸潤,其特性皆為兩個或三、四個呈鏈狀排列,無明顯之炎症反應(圖7)。 6.
心肌出血部份肌絲斷離,於肌束間隙可見齊頭短桿菌呈對狀排列,僅見少數中性球浸潤於斷離之肌束間。 7.
鼻吻部肌肉:嚴重出血壞死。 四、 實驗室檢驗: 1.
血液抹片經Wright's stain 可見大量齊頭短桿菌呈串狀或兩兩成對狀排列(圖8)。 2.
脾組織按奈抹片,經Wright's stain可見齊頭短桿菌呈串狀排列。 3.
血液抹片經Gram's stain 短桿菌呈陽性反應。 4.
血液及肝、心、脾、肺釣菌培養於血液培養基,置於二氧化碳培養箱中,36小時後,
有少數不溶血、邊緣不整、表面粗糙之菌落形成。5.
與國防醫學院第二組合作,進行病原菌之鑑定。其鑑定結果如下: (1)
單離的菌株具有capsule,FA診斷陽性。Gram (+)桿菌。 (2)
肝、肺、腎、脾等檢體的Ascoli precipitin test均為 (+)。 (3)
動物接種測試:以1 ml血液檢體(時間考量) IP注射 2隻BALB/ c Mice (25 g),經約24小時後,兩隻mice均死亡,解剖發現,胸、腹腔大量出血、水腫,所有organs均有崩潰(collapse)及紫點性出血(Petechial hemorrhages),血液無法凝集,和死亡馬的病理解剖結果很相像。 (4)
PCR結果顯示Cap (capsule),PA (Protective Antigen)及EF (Edema factor)的Primer 皆為
(+)。五、 診斷: 馬炭疽 (Anthrax in a Horse) 六、 討論: 本症屬人畜共同傳染病,在人類之法定傳染病中被列為第二類甲種傳染病,在動物法定傳染病中被列為乙類疾病。草食獸感受性較高,羊、牛、馬、豬最常被感染,豬較有抵抗力,易成為其他動物的疾病保菌者,台灣於1900 - 1952有少數炭疽病例,史實記錄病牛及病羊共計 667 頭,1952 年最後一個牛隻病例於桃園發生,直到 1999 年 11 月底於台北北投馬場發現一例馬匹病例。人之病例於1929年撲殺炭疽病牛之工作人員,經皮膚感染而發病,最後一例人的病例係1972年於馬祖經吸入途徑而感染本症。 炭疽之病原為 Bacillus anthracis,為Gram's陽性桿菌,有莢膜,在不適該細菌生長之環境下很容易呈芽孢形態發育,一旦形成芽孢後,在土壤及動物皮毛中可存活數十年之久,所有溫體動物皆有可能感染本菌,特徵是引發敗血症後迅速死亡,以草食獸感受性較高,羊、牛、馬、豬最常被感染,其他動物則較少見。 Bacillus anthracis在活體組織中為增殖型不會有芽孢形成,形態呈長方形,其有厚且明顯之莢膜但無鞭毛,在血液及實質臟器中,常兩兩排列呈鏈狀有如竹節。在有氧或高溫環境中(21℃)菌體中心即形成球狀芽孢,此芽孢對冷、熱、乾燥、化學藥品及酸有極 強之抵抗性,本菌一旦離開活體(感染動物排泄分泌物或解剖打開體腔),曝露在有氧的環境中,會形成芽孢,此期稱為芽孢期,若本菌存於高溫,多濕弱鹼之土壤環境中,在十幾小時內會大量分裂增殖而形成可怕之感染原。故死於本症之動物不應剖解,以儘速焚燬為原則。 後續處理及追蹤:該場之環境經徹底消毒,後續追蹤檢測炭疽菌均為陰性,馬匹及
工作人員亦經緊急策略性投藥處理,相關工作人員之血清檢測炭疽皆為陰性。七、 參考文獻: 1.
Ascoli A. Die Prazipitindiagnose bei Milzbrand. Zbl Bact Parasit Infekt 58:63, 1911. 2.
Forshaw D, Higgs A, Moir DC, Ellis TM, and Links IJ. Anthrax in cattle in southern western
australia. Aust Vet J 74: 391-393, 1996.3.
McGee ED, Fritz DL, Ezzell JW, Newcomb HL, Brown RJ, and Jaax NK. Anthrax in a dog.
Vet Pathol 31: 471-473, 1994.4.
OIE Animal Health and Disease Control Report 1997. Office International des Epizooties,
Paris, France, 1997.5.
Okewole PA, Oyetunde IL, Irokanulo EA, Chima JC, Nwankpa N, Laleye Y, Bot C. Anthrax
and cowdriosis in an african elephant, Loxodonta africana. Veterinary Record. 133: 168, 1993.6.
Patra G, Vaissaire J, Weber-Levy M, Doujet CL, and Mock M. Molecular Characterization of
Bacillus strains Involved in outbreaks of anthrax in France in 1997. Journal of Clinical
Microbiology. 3412-3414, 1998.7.
Tuchili L. Pandey MGS, Sinyangwe PG, Kaji T. Anthrax in cattle, wildlife and humans in
Zambia. The Veterinary Record. 132: 487, 1993.8.
WHO (1998). Guidelines for the Surveillance and Control of Anthrax in Humans and Animals.
Geneva, 13-15 November 1990. World Health Organization, Geneva (unpublished document:
WHO/EMC/ZDI/98.6).



