犬陰囊肥大細胞瘤和圍肛腺瘤
- 英文名稱
- Scrotal Mast Cell Tumor and Perianal Gland Adenoma in a Dog
- 作者
- 張仕杰;賈敏原; 劉正義
- 建立日期
- 96年01月18日
- 更新日期
- 96年01月18日
- 內容
一、 病歷: 患犬為一頭14歲,體重6.3公斤之迷你品(miniature pinscher)公犬。畜主表示該犬陰囊在3個月前開始逐漸腫大,常會出現淺表潰瘍和出血現象。同時亦發現該犬左上顎齒齦部有一逐漸突起之腫塊,妨礙該犬進食。另外在肛門右上側有一在4年前就已形成的腫塊,由於無任何影響故一直未作處理。由於該犬近期出現食慾不振、呼吸不順暢和運動不耐等現象,而帶至本校獸醫教學醫院就診。初診時發現該犬身體肥胖,呼吸急促且伴隨有腹式呼吸,有咳嗽症狀和明顯呼吸音。陰囊腫塊表面有潰瘍出血。肛門右側有一懸垂球形腫塊,皮膚呈棕黑色且無毛髮覆蓋(圖1)。觸診該犬鼠蹊淋巴結並未發現有腫大現象。
口腔左上顎齒齦有一橢圓形腫塊,亦可見牙結石及齒齦退卻。由於上述的臨床症狀和血檢發現該犬肝功能不佳(ALT=1426.8 U/L、AST=353.5 U/L),故先給口服藥物治療,待2週後該犬複診時,其食慾和排泄均正常且精神良好,在畜主同意下施行外科手術,切除陰囊,肛門周圍和齒齦等腫塊。二、 肉眼病變:
1.
陰囊腫塊:大小為6.0 ×5.0 ×4.5㎝,有淺表出血性潰瘍灶,表面無毛髮覆蓋,觸感堅實。切面呈黃白色、堅實之均質組織(圖2A)。 2.
肛門周圍腫塊:大小為3.0 ×2.5 ×2.5㎝,無毛髮覆蓋,觸感柔軟平滑,切面為淡褐色(圖2B)。 3.
口腔齒齦腫塊:外觀呈亮粉紅色之橢圓腫塊,大小為1.5 ×0.5 ×0.5㎝。腫塊為堅實均質的組織,剖面為白色。 三、 組織病變: 1.
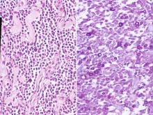
陰囊腫塊組織切片在低倍下可見圓形腫瘤細胞及小樑和基質,高倍下可見腫瘤細胞核大成圓形,核仁明顯,細胞質內可見細小顆粒(圖3A)。此外也可見到有嗜酸性球聚集現象。在toluidine blue stain染色下可見腫瘤細胞細胞質內出現異染性顆粒(圖3B)。而在睪丸組織切片可見造精小管內僅單層的精母細胞,且多以支持細胞(賽托利細胞)為主。 2.
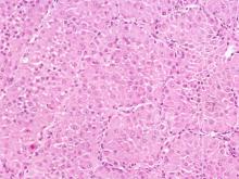
肛門周圍腫塊組織切片在低倍視野下可見一區一區的分葉狀肝樣組織,在高倍下可見多邊的細胞,細胞核為卵圓形或圓形且可見明顯的核仁。腫瘤細胞含有豐富的細胞質,染色呈粉紅色嗜酸性(圖4)。在分葉的周邊可見圓形或立方樣的儲備細胞(reserve cell)排列,但細胞數量不多且較呈嗜鹼性。 3.
齒齦增生組織在低倍下可見其表皮有一潰瘍灶,組織內可見緻密的膠原纖維。高倍下可見完好的基底細胞層,上皮細胞並未往下深入的情形,同時可見炎症細胞浸潤,此為齒齦增生(gingival hyperplasia)。 四、 實驗室檢驗: 1.
血液學檢查:WBC (19100/㎜3)和Band neutrophil (573/㎜3)上升。 2.
血清生化學檢查:AST (SGOT) (353.5 U/L)、ALT (SGPT) (1426.8 U/L)、LDH (124 U/L)、CK (155 U/L) 和ALP (624 U/L)上升。 五、 診斷: 犬陰囊肥大細胞瘤和圍肛腺瘤(Scrotal Mast Cell Tumor and Perianal Gland Adenoma in a Dog) 六、 討論: 肥大細胞瘤(mast cell tumor)在犬皮膚腫瘤中的發生率平均佔有15 %,不因性別而影響其發生率,平均發生年齡為8.5歲。最容易發生的位置為身體的後半部軀幹(50 %),其次為四肢(40 %),頭頸部約佔10 %。腫瘤表面可能出現脫毛、紅疹和潰瘍等現象[5]。
易罹患肥大細胞瘤之犬品種包括Boxer、Boston terrier和Bulldog,但此三品種發生肥大細胞瘤後的死亡率卻比其他品種低,而且通常為多發性[5, 8]。肥大細胞瘤由組織學分級(Patnaik grading)可分為三級。Grade I (well-differentiated),細胞含有明顯的細胞質,且細胞質內的顆粒明顯,少見細胞有絲分裂相。Grade II (intermediate differentiated),
核質比例比anaplastic型低,細胞有絲分裂數目和細胞質內顆粒數皆屬中等。Grade III ( anaplastic/undifferentiated),有明顯的細胞有絲分裂相,且細胞質含量少。通常分化越不完全時,其惡性比例就越大[2, 5]。皮膚型肥大細胞瘤最主要的診斷方法是利用toluidine blue染色,將細胞質內的顆粒(包含histamine和heparin)染成異染性染色,同時在腫瘤組織內因拮抗histamine和heparin所以常會出現嗜酸性球[5, 8]。另外也可使用細針抽吸法獲取細胞樣本後染色檢查[3],血液學檢查有時可以發現嗜酸性球增多症和嗜鹼性球增多症[5]。肥大細胞瘤的預後要考慮到發生位置,發生於軀幹比四肢部位較易有轉移或復發等現象[5]。本病例之陰囊腫瘤為單一且區域淋巴結並未腫大,故臨床分類屬於第一型。在組織學分級上,因為可見到中等度的核大小不一,細胞質內顆粒數量亦為中等量,在400倍視野下可見到1至2個細胞有絲分裂相,故屬於第二級(grade II)。由文獻得知,grade II有44 %可以存活4年以上,術後6個月的復發率為44 %,術後1年發生轉移機率為12 % [5]。但是該犬尚有呼吸不順暢和運動不耐等現象,且由於氧量不足導致該犬有代償性左右心肥大和肺水腫等情形,又因為該犬為14歲老犬,故難以僅由文獻來判定該犬存活時間。
七、 參考文獻: 1.
Goldschmidt MH, Shofer FS. Hepatoid gland tumor. In: Skin Tumors of the Dog and Cat.
Pergmon Press Ltd, Oxford, UK, 66-74, 1992.2.
Jane TM, Kitchell BE, Miller LM, Theon A. Prognostic factor for radiation treatment of mast
cell tumor in 85 dogs. J Am Vet Med Assoc 193: 936-940, 1988.3.
Simoes JPC, Schoning P. Prognosis of canine mast cell tumor: a comparison of three methods.
Vet Pathol 31: 637-647, 1994.4.
Stannard AA, Pulley LT. Tumors of skin and soft tissues. In: Moulton JE, ed. Tumors in
Domestic Animals. 3rd. ed. University of California Press, Berkeley, USA, 70-72, 1990.5.
Vail DM. Mast cell tumors. In: Withrow SJ, MacEwen EG, ed. Small AnimalClinical Oncology.
2nd. ed. WB Saunders Company, Philadelphia, USA, 192-210, 1996.6.
Wilson GP and Hayes HM. Castration for treatment of perianal gland neoplasms in the dog. J
Am Vet Med Assoc 174: 1301-1303, 1979.7.
Withrow SJ. Perianal tumors. In: Withrow SJ, MacEwen EG, ed. Small Animal Clinical ncology,
2nd ed. WB Saunders Co, Philadelphia, USA, 261-267, 1996.8.
Yager JA, Wilcock BP. Round cell tumors. In: Color Atlas and Text of Surgical Pathology of
the Dog and Cat. Wolfe, London, UK. 273-286, 1994.

