母犬子宮蓄膿症
- 作者
- 李健名 ;吳福明
- 建立日期
- 96年01月18日
- 更新日期
- 96年01月18日
- 內容
一、 病歷: 本篇報告取自台中市地方動物醫院所蒐集三個臨床自然發生之子宮蓄膿症病例,其
病史及基本資料如下:病例
品 種
年 齡
體 重
發情後週數
陰道分泌物
生產
症 狀
1
博美
2歲
3公斤
4週
無
一次
厭 食
2
北京
5歲
4.5公斤
8週
有
無
厭食,嘔吐
3
喜樂蒂
9歲
12公斤
9週
無
無
嘔吐,發燒
二、 肉眼病變:
以上三個病例皆由超音波確診後,進行外科切除,手術取下之子宮外觀如下: 病例一:
子宮體及兩側子宮角膨大(圖1),子宮角切開可見腔內充滿血樣、膿樣分泌物,子宮內膜水腫,子宮內膜腺體囊腫性增生(圖2),子宮重量0.3 公斤。 病例二:
子宮體及兩側子宮角明顯膨大,子宮角切開可見腔內充滿黃色膿性分泌物,子宮內膜輕微糜爛,子宮重量1.9公斤。 病例三:
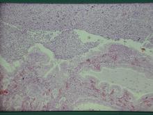
子宮體及子宮角明顯膨大,尤其靠兩側子宮角之前1/2段膨大更為明顯(圖5),子宮角切開可見血樣、膿樣分泌物,子宮壁明顯變薄,子宮內膜表面瀰漫散佈點狀火山口樣之潰瘍灶(圖6),子宮重量4.2公斤。 三、 組織病變: 病例一:
子宮腔及子宮黏膜腺體腔內蓄積大量粘液及膿性滲出物(圖3),子宮內膜覆蓋
上皮受損處,其上皮下層之間質組織有顯著的炎症反應。(圖4)病例二:
子宮內膜腺體呈囊腫性增生,子宮腔及子宮內膜腺體含粘液及膿性滲出物,子
宮內膜上皮窩有大量膿性物質蓄積。病例三:
低倍鏡下,長期持續大量的子宮蓄膿使子宮肌層變薄,子宮內膜覆蓋上皮外受
損消失,粘膜層呈現顯著炎症反應(圖7),高倍鏡下可見到喪失上皮覆蓋的
粘膜呈現顯著的炎症反應(圖8)。四、 實驗室檢驗: 病例 血液學檢查 血液生化學檢查 微生物分離 1 1.WBC上升(中度)
2.RBC、PCV輕微下降BUN、Creatinine及其他生化值皆正常 子宮:E.coli
尿液:E.coli2 1.WBC上升(中度)
2.RBC、PCV正常BUN輕微上升、Creatinine正常 子宮:E.coli
尿液:E.coli3 1.WBC上升(重度)
2.RBC、PCV下降BUN及Creatinine上升 子宮:Staphylococus
尿液:E.coli五、 診斷: 子宮蓄膿症(Pyometra) 六、 討論: 病例一為發生於2歲且生產過一次母犬的子宮蓄膿症,此類病例常見到有尿道感染,在母犬發情後適當的條件下經由尿道上行感染產生子宮蓄膿症,因此這類病例經常可在尿道膀胱分離到病原菌,在子宮腔內的膿汁也可分離到相同的病原菌,大部分病原菌來自消化道。病例2及病例3屬於高齡未生產過的母犬所產生的子宮蓄膿症。依據前人研究及本實驗室收集有關病例顯示,未生產過或停產一段時間的母犬,每經歷一個性週期,其子宮內膜腺體會逐漸增強對卵巢在性週期所分泌的動情素及助孕素反應,在黃體期,經由黃體分泌助孕素的作用下子宮內膜腺體分泌大量的黏液,黃體期子宮頸呈閉鎖狀態,子宮腔內蓄積大量黏液無法排出,形成mucometra(子宮蓄積黏液症)。母犬的黃體期可達50-90天,在此期間若有菌血症或細菌等微生物進入子宮腔,則會增殖發展成為子宮蓄膿症。此外,
很多子宮蓄膿症之微生物培養經常是無菌的。此類子宮蓄膿症形成的機制在組織學上可看到大量子宮黏液的蓄積,壓迫子宮內膜上皮細胞或腺體細胞,使細胞死亡,上皮下層或腺體細胞下層之間質組織裸露於子宮腔引發急性的炎症反應,間質組織有大量的嗜中性球、巨噬細胞、淋巴球或漿細胞浸潤,裸露的間質組織也會滲漏大量的液體到子宮腔,更增加子宮的膨脹。病例3之子宮腔呈極度膨脹,大量子宮腔液體壓迫子宮內膜上皮細胞,使幾乎所有上皮細胞死亡,也增加裸露間質組織的滲漏,形成惡性循環。子宮的組織病變與犬隻的臨床症狀也有明顯的相關性,當犬隻只有子宮蓄積黏液,也即是沒有上皮或腺體細胞的傷害時,犬隻不顯現症狀或臨床檢查(X光或超音波影像)只有子宮的膨大。當上皮或腺體細胞發生損傷,引發間質炎症反應,炎症產物進入子宮腔形成子宮蓄膿症時,動物會顯現各種不同程度的臨床症狀。一旦有微生物進入子宮腔大量增殖則可引起嚴重的臨床症狀,而門診病例一般都已發生蓄膿症,也即是此病的中後期。早期的子宮蓄黏液症(mucometra)一般都是犬隻做健康檢查時意外發現。母犬體檢應包括子宮超音波影像檢查,子宮蓄積黏液症為子宮蓄膿症之前期病變,隨時都可能轉變為子宮蓄膿症。 七、 參考文獻: 1.
Okano S, Tagawa M, Takase K. Relationship of blood endotoxin concentration and prognosis
in dogs with pyometra. J. Vet. Med. Sci. 60(11): 1265-1267, 1998.2.
Wadas B, Kuhn I, Lagersted AS, and Jonsson P. Biochemical phenotypes of Escherichia coli
in dogs: comparison of isolates from bitches suffering from pyometra and urinary tract infection
with isolates from faeces of healthy dogs. Vet. Microbiol. 52: 293-300, 1996.3.
Memon MA, and Mickelsen WD. Diagnosis and treatment of closae-cervix pyometra in a bitch.
J. Am. Vet. Med. Assoc. 203(4): 509-512, 1993.4.
Jones TC, Hunt RD, and King NM. Genital system. Veterinary Pathology. 6thed. Willams &
Wilkins. 1162-1170, 1997.



