犬毛髮上皮瘤
- 英文名稱
- Trichoepithelioma in a Dog
- 作者
- 蔡睦宗 ;魯懿萍; 徐榮彬 ;黃旭田 ;洪信雄
- 建立日期
- 96年01月18日
- 更新日期
- 96年01月18日
- 內容
一、 病歷: 患犬為一隻約5歲,體重4.7公斤的雌性西施犬,畜主於3個月前發現其左側背部皮膚有一凸起小團塊,漸漸於就診手術前一週擴大為1 ×1 ×0.5 cm3左右,凸起圓形稍黑為單一團塊,觸診質硬於皮下可移動(圖1及2),沒有搔癢症狀,該犬體溫、呼吸速率、心跳正常、精神良好,食慾和排泄正常。手術後癒後良好,未復發。 二、 肉眼病變:
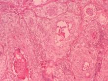
左側背部皮膚有一突起圓形質硬稍黑之單一團塊,大小約1 ×1 ×0.5 cm3左右,皮膚表面毛髮較少,沒有潰瘍灶,切面皮下散發1~2 mm直徑之白色小病灶(圖3)。 三、 組織病變: 皮膚腫瘤團塊,位於真皮層及皮下組織間,由一層薄的結締組織包被,界限明顯,腫瘤區域有多發大小不一的角囊(horn cyst)(圖4),內含許多紅色板層樣圓形角質化物質或角質化殘屑,其囊壁由多層上皮構成,囊壁最外層細胞有時呈柵狀排列,細胞核呈橢圓形,此多層上皮腫瘤細胞由外層細胞有時呈柵狀排列,細胞核呈橢圓形,此多層上皮腫瘤細胞由外而內分化,細胞漸趨扁平,較嗜伊紅性,但細胞質染色性淡而透明,最內層細胞質有角化均質樣嗜鹼性顆粒(keratohyaline granules);角質化殘屑,偶可見嗜伊紅性,細胞核較淡之幽靈細胞(ghost cells)(圖5),其它腫瘤區域大多密佈呈索狀或巢狀,細胞核呈圓形或橢圓形,核仁單一,細胞界限較不明顯,巢狀區域團塊細胞有些全面性較嗜鹼性(圖6),有些僅巢狀周圍細胞較嗜鹼性,排列較緻密,似毛囊基質細胞(Hairmatrix cells)(圖7),有些巢狀團塊細胞其細胞質較淡染,排列較稀鬆,似毛囊鞘壁細胞(Fallicular sheath cells)(圖8),巢狀區域有些由外而內漸近性分化呈扁平細胞,細胞質較透明而淡,呈嗜酸性,細胞界限明顯,內容物有嗜伊紅性板層樣角化物質及少許染色淡之幽靈細胞聚集,密發巢狀區域周圍由極少量結締組織分隔及局部少量淋巴球及漿細胞浸潤,極少數巢狀中心區域亦有鈣化。 四、 診斷: 犬毛髮上皮瘤(Trichoepithelioma in a Dog) 五、 討論: 本腫瘤病例肉眼和組織學特徵,需與其它皮膚與軟組織所發生腫瘤區別,包括鱗狀細胞癌(squamous cell carcinoma)、皮內角化上皮瘤(Intracutaneous cornifying epithelioma)、基底細胞腫瘤(basal cell tumor),毛囊腫瘤包括毛髮上皮瘤(Trichoepithelioma)及毛囊基質細胞瘤(pilomatricoma)和一些皮膚附屬腫瘤。鱗狀細胞癌雖然亦有同心層鱗狀細胞漸進性向中心角化特徵,但其肉眼皮膚常呈乳突狀增生成潰瘍,組織病變則以腫瘤團塊由表皮層向下入真皮層及皮下為特徵,減數分裂現象明顯,此與本病例多發生於真皮層及皮下不同。而Intracutaneous cornifying epithelioma其肉眼腫瘤團塊大多數位於真皮和皮下,有0.5至0.4 cm直徑,具有一毛孔位於皮膚表面,介於1 mm至數公分,極少數則無開口、直接位於真皮及皮下組織,腫瘤組織組成以角質化陷凹於真皮層,皮膚表面有一毛孔,角質化中心沒有幽靈細胞,與本病例腫瘤不同。至於基底細胞腫瘤由組織型態可分為solid、cystic、ribbon、medusoid四種型態,腫瘤細胞均一而小,細胞核呈高染色質,基底細胞上皮瘤細胞間沒有gap junction,亦沒有同心層角化巢狀腫瘤結構。本腫瘤組織並未發現如皮脂腺、汗腺、耳腺和圍肛腺等皮膚附屬腺體,所以排除由皮膚附屬腺體衍生而來之腫瘤。至於毛囊腫瘤包括由毛囊基質衍生而來之pilomatricoma及由毛囊鞘和毛囊基質衍生之Trichoepitholioma;Pilomatricoma肉眼團塊硬、包被良好,呈多葉形,常可見鈣化現象,直徑2至10公分位於真皮層及皮下,組織團塊主要由嗜鹼性細胞及幽靈細胞,嗜鹼性細胞與毛囊基質細胞相似,嗜鹼性深染細胞小,細胞界限不明顯,細胞排列多而緻密,完全角化之幽靈細胞則較淡染而嗜伊紅,兩者界限明顯、快速角化、相互交錯,此與本病例某些區域漸進性同心層角化、細胞界限明顯,呈嗜伊紅性不同,其幽靈細胞數則較Pilomatrichoma少,嗜鹼性細胞多排在同心層周圍。至於Tricholemmoma較少發生於犬,由許多呈巢狀排列腫瘤細胞構成,最外層細胞,細胞質空泡化,有肝醣儲存,多為良性腫瘤。
毛髮上皮瘤(Trichoepithelioma)於犬貓較常見,其他家畜則很少,曾有一報告佔犬皮膚上皮腫瘤4.5%,多數發生於5歲以上,沒有品種或性別傾向。多發於皮膚和皮下,通常為單發,可發生動物全身任何部位,肉眼與基底細胞腫瘤相似,腫瘤團塊硬而包被良好,直徑約1至10公分,切面呈灰色有不等數量小白色灶。多數毛髮上皮瘤呈現基底細胞和鱗狀細胞群,基底細胞常形成角囊以完全角化中心由小而嗜鹼性細胞圍繞;腫瘤若趨向毛囊鞘壁(follicular sheath)分化則有複層鱗狀上皮呈現,與基底細胞相似,通常呈巢狀排列中央角質化,但其角質化是漸進性由內而外多層細胞形成。毛髮上皮瘤生長緩慢,通常不會侵犯或轉移。
人類皮膚之基底細胞癌(basal cell carcinomas; BCC)和毛髮上皮瘤(Trichoepithelioma; TE)於組織學十分相似,有些病例難以區別,尤其生檢(biopsy)而來小的表層皮膚造成皮膚病理學者困擾,因為BCC是一種惡性腫瘤需手術加以切除,而TE則是良性;免疫組織化學染色被用來輔助區別,根據Poniecka等一篇報告顯示,將20例BCC和10例TE,使用
Cam 5.2,Cytokeratin 7 (CK7),Cytokeratin 20 (CK20),Carcinoembryonic antigen (CEA),CD30 (Ki-1),bcl-2,Ham 56,CD 34,和Vlex Europaeus type I等抗體標示,發現bcl-2可廣泛染上BCC之巢狀上皮20例中有19例,而10例TE皆可染上其最外層巢狀上皮;沒有其它標示抗體染色適合區則此兩種腫瘤,因此結論認為bcl-2可能對於BCC和TE區別有些價值,但組織HE切片染色判讀仍然是組織學診斷之基準。六、 參考文獻: 1.
張仕杰、李吟佩、劉振軒。犬之毛囊基質細胞瘤。中華民國獸醫病理學會八十八年度組織病理研討會專輯。P4-5。1999。 2.
Goldschmidt MH, Shofer FS. Trichoepithelioma. In: Skin Tumors of the Dog and Cat. Pergamon
Press, New York, USA, 115-124, 1992.3.
ones TC, Hunt RD, King N. Neoplasm of Adnexa. In: Jones TC, ed. Veterinary Pathology, 6th
ed. Williams & Wilkins, Baltimore, USA, 858-864, 1997.4.
Poniecka AW, Alexis JB. An Immuno Chemical Study of Basal Cell Carcinoma and
Trichoepithelioma. Am J. Dermatopath 21(4):332-336, 1999.5.
Stannard AA, Pulley LT. Basal Cell and Appendage Tumors. In: Moulton JE. Tumors in
Domestic Animals, 2nd ed. The Regents of the University of California, San Francisco, USA,
47-70, 1978.6.
Yager JA, Scott DW. Tumors of the Epidermis. In: Jubb KVF, ed. Pathology of Domestic
Animals, 4th ed. Academic press, Inc. San Diego, USA, 707-719, Vol 1, 1993.7.
Yager JA, Wilcock BP. Basal cell and appendage tumors. In: Yager JA, ed. Color Atlas of the
Text of Surgical Patholoy of the Dog and Cat, Mosby-Year Book Europe Limited, London,
England, 257-262, 1994.



