犬巨大細胞瘤
- 英文名稱
- Giant Cell Tumor in a Dog
- 作者
- 楊博俊; 張仕杰 ;陳三多
- 建立日期
- 96年01月18日
- 更新日期
- 96年01月18日
- 內容
一、 病歷: 患犬是一隻體重5.3公斤之成年西施母犬,實際年齡不詳,在就診前3日由善心人士發現此犬之右後肢腫脹且有跛行之情形,於是在3天後帶至本校獸醫教學醫院就診。 二、 肉眼病變:
右後肢腫大約為左後肢3倍,由股骨近端至脛骨遠端之連續切面可見大部分肌肉變白、觸感堅硬。但與骨頭界線清楚,表示腫瘤並未侵犯骨頭。患犬死亡後,解剖病變如下: 1.
腹腔打開時有大量腹水,約有200 ml。 2.
心臟:左心尖端不規則團塊,直徑為1.5 cm。心肌觸感堅實較一般肌肉硬。心臟剖開時可見右心室擴張,肌肉壁變薄。右心房室瓣閉鎖不全,且有輕微疣狀增生。左心室壁增厚約2倍,左心室壁約為右心室壁8倍厚。在左心可見四處有轉移之腫瘤團塊。 3.
肺臟:肺臟及縱膈膜上發現轉移之腫瘤團塊,肺臟上多發表面實質,直徑0.2-1.5 cm白色至灰白色腫瘤團塊,觸感堅實如軟骨狀。 4.
肝臟:略為褪色,可見靜脈怒張,肝靜脈旁有一直徑0.3 cm卵圓形腫瘤塊壓在膽管和靜脈交接處。 5.
脾臟:頭端有一0.2×0.5 cm小梗塞區。 6.
迴腸入盲腸處,漿膜面黃白疑似腫瘤團塊附著,成不規則狀。另可發現絛蟲及其節片。 7.
腎門及腰淋巴結都被轉移之腫瘤波及,前腔靜脈大於後腔靜脈2-3倍。 三、 組織病變: 1.
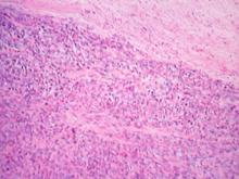
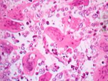
低倍下可見皮膚有水腫之情形,腫瘤區與周圍正常肌肉界線清楚,在腫瘤區可見大量之纖維基質,另外還有許多類組織細胞及大量多核巨大細胞夾雜其間。 2.
肺臟:輕微水腫與鬱血,肋膜之結締組織增厚,且肺臟與肋膜交界處有腫瘤團塊,其型態同上。 3.
其他臟器之腫瘤型態都相同。 四、 診斷: 犬巨大細胞瘤(Giant Cell Tumor in a Dog) 五、 討論: Giant cell tumor在人類是老年時好發的軟組織腫瘤之一,是一種高復發率、高轉移率的惡性腫瘤。在動物則為少見的腫瘤,犬、貓、馬、豬都曾有報告。在人方面,依其發生部位可分淺層與深層兩部分,淺層的是指發生在皮下或表面筋膜,以肢部好發,易復發不易轉移。深層的是指發生部位波及至骨骼肌、深層筋膜及肌腱,以肢部、體幹好發,易復發、高轉移率且更為惡性。 一般來說,經過大範圍手術切除及放射線治療來處理巨大細胞瘤後仍有73﹪的高復發率。在犬貓的報告中,以後肢的發生率最高(42.4﹪),其次為前肢(18.2﹪),在年齡方面,平均年齡為8.4歲,範圍可從3歲到10.3歲不等。性別無特異性,種別方面以大型犬為主。 在臨床症狀方面主要為皮下腫塊、體重減輕、無食慾及不活潑,另外還有嘔吐、跛行、呼吸困難、咳嗽、黏膜蒼白、淋巴腫大及心跳加速等症狀,實驗室診斷可發現有再生或非再生性貧血、低白蛋白血症及高濃度的血清肝臟酵素。在診斷方面以組織病理學檢查為主,可以見到下列幾種細胞形態: 1.
許多紡錘狀的類纖維母細胞伴隨著膠原樣或黏液樣基質,成散亂排列,在纖維肉瘤(fibrosarcoma)也有此細胞形態。 2.
類組織細胞(histiocyte-like cell)可見細胞核圓而大且有液泡,核仁明顯,嗜酸性細胞質,質內有空泡,細胞形態呈圓形到多角形。 3.
多核巨大細胞,似蝕骨細胞(osteoclast),核的數目為2個至20個以上,嗜酸性細胞質。 4.
可以見到旺盛的有絲分裂相。 5.
炎症細胞的浸潤有時明顯,有時較少,以淋巴球為主。 六、 參考文獻: 1.
Garman RH, Powell FR, and Tompsett JW. Malignant giant cell tumor in a dog. JAVMA 171:
46-548, 1977.2.
Goldschmidt MH, and Shofer FS. Giant cell tumor of soft tissue. In: Skin Tumor of The Dog
& Cat. Pergamon Press Ltd, England, UK, 175-178, 1992.3.
Walsh BA and Rhodes WH. Giant cell tumor of bone in a cat. J Small Anim Practice. 36: 325-
329, 1995.

