日本鰻愛德華氏病
- 英文名稱
- Edwardsiellosis in Eels
- 作者
- 余俊明 郭丑哲
- 建立日期
- 96年01月18日
- 更新日期
- 96年01月18日
- 內容
一、 病歷: 彰化縣鹿港鎮黃姓養鰻業者,其養殖場規模為面積2公頃,水深約1公尺,於本(89)年6月12日放養體型200尾/公斤的稚鰻40萬尾,現今池鰻體型平均為12尾/公斤。自10月10日起,池鰻陸續有靠岸浮出水面、活力減退、食慾不佳及死亡等臨床症狀,曾將氯黴素及四環素等抗生素添加於飼料中投予,每天仍約有1000尾死亡。業者遂於10月24日送病鰻3尾及池水3瓶至本所檢查。經病理學檢查、微生物檢查及水質分析結果,診斷為受到愛德華氏菌感染。經建議其將硝基
喃(Nitrofurantoin)(10 ~ 20毫克/每公斤魚體重)添加於飼料中,連續投予6天,用兩性消毒藥劑0.5 ppm進行藥浴,並加強曝氣及飼養管理後,情況已改善。二、 肉眼病變:
1.
病魚外觀腹部潮紅。 2.
腹腔壁潮紅,少量纖維素附著。 3.
肝臟左右兩葉可見2個大潰瘍灶。(圖1) 4.
後腎腫大突起。(圖2) 三、 組織病變: 1.
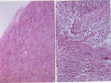
肝臟:表面有大量纖維素附著,部份實質區域壞死,有大量單核球及少量異嗜球浸潤,血管壁呈現類纖維樣變性。(圖3A、3B) 2.
腎臟:實質區域壞死,有大量單核球及少量異嗜球浸潤。(圖4A) 3.
皮膚:表皮層杯狀細胞增生。(圖4B) 四、 實驗室檢驗: 1.
鰓部濕壓片檢查:有少量車輪蟲及少量黏液附著在鰓絲表面。 2.
血液塗抹片檢查(劉氏染色):有大量桿菌 3.
微生物檢查:心、肝、脾:經革蘭氏染色及生化鑑定為Edwardsiella tarda。 4.
水質分析檢查: 採樣時間:89年10月24日下午1點30分,天氣晴。淡水源水質分析結果如下: 水溫:24℃;酸鹼值:8.5;溶氧量:3.2ppm;氨態氮:0.18 ppm;亞硝酸態氮:0.02
ppm;硫化物: 0.02 ppm。正常池水質分析結果如下: 水溫:24℃;酸鹼值:8.5;溶氧量:6.9ppm;氨態氮:0.28 ppm;亞硝酸態氮:3.75
ppm;硫化物:0.08 ppm。發病池水質分析結果如下: 水溫:24℃;酸鹼值:8.5;溶氧量:6.5ppm;氨態氮:0.03 ppm;亞硝酸態氮:0.93
ppm;硫化物:0. 02ppm。(水質分析儀器:MERCK photometer SQ 118) 五、 診斷: 日本鰻愛德華氏病(Edwardsiellosis in Eles) 六、 討論: 1.
本病例為愛德華氏菌感染症,屬於細菌性敗血症,以飼料添加抗生素投予之效果較佳,若僅以藥浴法投予,則藥物通常難以滲入魚體組織內將細菌殺死,使藥效大打折扣。另外,本菌於14℃以下停止增殖,因此冬季發生機會較低。 2.
兩性消毒劑(如BKC)藥浴,可使池水病原菌的數量下降,進而減低魚體接觸病原菌的機會,降低疾病蔓延的速度。但是投予兩性消毒劑應注意兩點,首先,池水透明度過低時,易因下降藥力增強而發生藥害,其次為兩性消毒劑具除藻的作用,易使水中溶氧量下降。 3.
據業者表示發病池為500坪,池中魚隻總數為12萬尾,送檢3尾病鰻體重分別為121.50 g、32.45 g、17.20 g,體型相差懸殊。密飼環境下常造成此種狀況,應立即篩選後分養,以降低養殖密度,一般每公頃宜飼養10萬尾左右較為恰當。若養殖密度過高,易造成池內魚隻體型大小參差不齊、池水快速老化、魚隻成長趨於緩慢及病害不斷,進而影響收益。 4.
本病屬中症感染之病例,療程約6天左右,不可因為病情有明顯改善,而於用藥後2~3日即停止使用,以免因為治療不完全,而使本病復發。 5.
本病例發病池之亞硝酸態氮濃度偏高,宜注意池水更換及池底污泥的清除工作。 七、 參考文獻: 1.
余廷基。水產生物遭受疑似公害是件之處理要點。台灣省政府環境保護處。1-7。
1996。2.
Edward J.Noga,Fish disease diagnosis and treatment.147-149, 1996.

