大鼠黏液性小腸腺癌
- 英文名稱
- Spontaneous Intestinal Mucinous Adenocarcinoma in a SD Rat
- 作者
- 陳憲全 ;張維正 ;張詠樂; 丁崇原; 黃彥智 ;黃坤正
- 建立日期
- 96年01月18日
- 更新日期
- 96年01月18日
- 內容
一、 病歷: 三對58~65週齡繁殖公母鼠,皆健康,為本中心之無特定病原(SPF)飼養隔離區Crl:CDR[SD] BR大鼠之例行性淘汰動物健康監測送檢病例。 二、 肉眼病變:
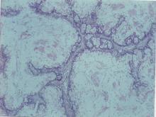
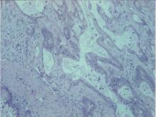
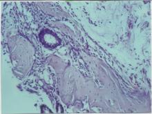
大體解剖檢查,除一隻公鼠外,其他五隻公母鼠皆無異常。此公鼠唯一肉眼病變為腹腔內距迴盲瓣約18 cm處的空腸有一段球狀脹大,大小直徑2.2 cm。腸管橫切面呈黃黑與透明似軟骨碎感固體長出團塊(mass),其間摻雜有黏稠,糊樣腸腔內容物,腫瘤表面 腸腔只餘1.5 mm寬空隙,可容前端腸內容物通過。其他內臟皆正常。 三、 組織病變: 腫瘍團塊在低倍顯微鏡鏡檢下幾乎佔據所有腸腔,只剩下少許空隙。除腸內容物炎症壞死物質外,並含有很多絨毛膜樣細菌團塊(bacterial matts)。腫瘤由許多大小不同增生的粘液腸道管腺(mucinous intestinal glands)而成,有的發育不全(dysplastic),有的含大量粘液呈囊包(mucinous cysts)的構造(圖1)。大部分增生腸管腺為乳突樣增生(papillary growth)(圖2,3),有的為修長管狀腸腺增生,腔內亦含有些純紅色到淡藍色鹼性粘液。很多已分化成杯狀細胞,或圓柱形,或立方形、核多型,位於基底膜上。腫瘤細胞分裂很少見。特別染色PAS與Alcian blue(pH 1.0)呈陽性。腫瘤外圍靠近正常腸黏膜處的腫瘤細胞核濃染(hyperchromatic),並侵入腸壁粘膜下層增生。腫瘤細胞內為間質組織增生,並形成有類骨質異化(osteoid metaplasia),骨組織外圍可見有許多蝕骨細胞(osteoclasts)(圖4)。此病例並無癌細胞轉移現象。 四、 診斷: 大鼠黏液性小腸腺癌(Spontaneous Intestinal Mucinous Adenocarcinoma in a SD Rat) 五、 討論: 1.
大鼠的大小腸腺癌稀見[1-3],然而在文獻上有過一次粘液腺癌發生於SD鼠病例報告,並發生轉移現象發生[1]。 2.
大鼠腸道上皮性腫瘤自然發生病例可包括:(1)腺瘤、(2)腺癌、與(3)鱗狀細胞癌(squamous cell carcinoma)[4]。腺瘤有息肉(adenomatous polyps),或息肉樣腺瘤(polypoid adenoma)。腺癌可分為:(1)乳突狀或管腺樣癌(papillary or tubularadenocarcinoma)、(2)印環狀細胞癌(singnet-ring cell carcinoma),與(3)黏液腺癌(mucinous adenocarcinoma)。鱗狀細胞癌主要發生在肛門;印環細胞癌的顯微病變特徵為癌細胞無腺腔形成(no glandular lumen),且細胞之間缺乏結合性;黏液腺癌一般少見。 3.
在比較病理學上,人與家畜特別在狗貓的腸道腫瘤疾病較鼠類多見,尤其在人類大腸癌的發生率在惡性的實質性腫瘤病(parenchymatous malignancy)中佔第二位。人與貓小腸腺瘤最常見為管腺樣(tubular or glandular adenocarcinoma),其肉眼特徵常為輪狀環繞著腸壁浸潤(annual encircling),筆者(陳)在貓的屍體解剖有過兩次經驗。又類骨質異化亦為特殊病變。 4.
在實驗病理學(experimental pathology)上,常利用鼠來做癌研究實驗動物模式,大部分發生的腫瘤為乳突狀或管腺樣,發生粘液性的倒沒見過。在毒性病理的長期慢毒性(2年)或致癌生物安全性評估(safety assessment)研究上,大鼠的腸道腫瘍發生與自然發生病例則無多大差異處。 5.
小腸道上皮性腫瘤細胞可來自具有吸收功能被覆粘膜突起絨毛表面的上皮細胞,與具有分泌功能被覆腸腺及隱窩凹部的細胞,因此本黏液癌的發生,可能來自分化力強的腸腺細胞,並會有黏液分泌。 6.
免疫組織化學的粘液腺癌特徵在Alucian blue與PAS都為陽性;對P53,Bcl-2及Bax抗體為陰性。電顯研究可認出腸道上皮細胞的纖毛(cilia),細胞質內含有粘液顆粒及細胞間的desmosome。 六、 參考文獻: 1.
Chandra M. Spontaneous metastasizing mucinous adenocarcinoma in the ileum of a Spraguc
Dawley rat. Lab Anim 28: 274-276, 1993.2.
Rowlatt UF. Neoplasmas of the alimentary canal of rats and mice. In: Cotchin E, Roc EJC, eds.
Pathology of Laboratory Rats and Mice. Black-well, Oxford, 57-84, 1967.3.
Pozharisski KM. Tumours of the intestine. In: Turusov V, Mohr U, eds. Pathology of the rat,
2nd ed. IARC, Lyon, 159-180, 1990.4.
Maekawa A. Changes in the intestine. In: Mohr U. Dungworth DC, Capen CC, eds. Pathobiology
of the Aging Rat. ILSI Press, Washington, D.C. Vol 2, 333-339, 1994.

